![]() |
![]() |
![]() |
![]() |
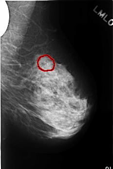
ics_version 1.0 filename C-0379-1 DATE_OF_STUDY 23 4 1996 PATIENT_AGE 67 FILM FILM_TYPE REGULAR DENSITY 3 DATE_DIGITIZED 3 11 1998 DIGITIZER LUMISYS LASER SEQUENCE LEFT_CC LINES 4520 PIXELS_PER_LINE 3008 BITS_PER_PIXEL 12 RESOLUTION 50 OVERLAY LEFT_MLO LINES 4504 PIXELS_PER_LINE 3016 BITS_PER_PIXEL 12 RESOLUTION 50 OVERLAY RIGHT_CC LINES 4568 PIXELS_PER_LINE 2936 BITS_PER_PIXEL 12 RESOLUTION 50 NON_OVERLAY RIGHT_MLO LINES 4568 PIXELS_PER_LINE 2968 BITS_PER_PIXEL 12 RESOLUTION 50 NON_OVERLAY |
FILE: C_0379_1.LEFT_MLO.OVERLAY TOTAL_ABNORMALITIES 1 ABNORMALITY 1 LESION_TYPE CALCIFICATION TYPE PLEOMORPHIC DISTRIBUTION CLUSTERED ASSESSMENT 4 SUBTLETY 5 PATHOLOGY BENIGN TOTAL_OUTLINES 1 BOUNDARY |
FILE: C_0379_1.LEFT_CC.OVERLAY TOTAL_ABNORMALITIES 1 ABNORMALITY 1 LESION_TYPE CALCIFICATION TYPE PLEOMORPHIC DISTRIBUTION CLUSTERED ASSESSMENT 4 SUBTLETY 5 PATHOLOGY BENIGN TOTAL_OUTLINES 1 BOUNDARY |