Digital Database for Screening Mammography

Volume: benign_06 Case: C-0380-1


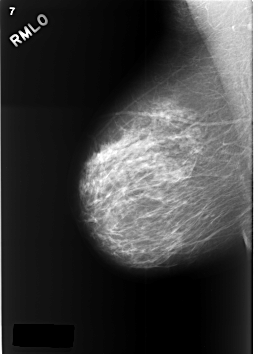
C_0380_1.RIGHT_MLO

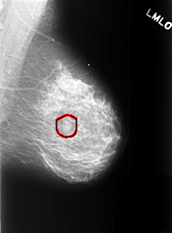
C_0380_1.LEFT_MLO

C_0380_1.RIGHT_CC

C_0380_1.LEFT_CC

ics_version 1.0
filename C-0380-1
DATE_OF_STUDY 6 9 1996
PATIENT_AGE 45
FILM
FILM_TYPE REGULAR
DENSITY 2
DATE_DIGITIZED 3 11 1998
DIGITIZER LUMISYS LASER
SEQUENCE
LEFT_CC LINES 5464 PIXELS_PER_LINE 3976 BITS_PER_PIXEL 12 RESOLUTION 50 OVERLAY
LEFT_MLO LINES 5432 PIXELS_PER_LINE 4008 BITS_PER_PIXEL 12 RESOLUTION 50 OVERLAY
RIGHT_CC LINES 5512 PIXELS_PER_LINE 3992 BITS_PER_PIXEL 12 RESOLUTION 50 NON_OVERLAY
RIGHT_MLO LINES 5664 PIXELS_PER_LINE 4120 BITS_PER_PIXEL 12 RESOLUTION 50 NON_OVERLAY

FILE: C_0380_1.LEFT_MLO.OVERLAY

TOTAL_ABNORMALITIES 1
ABNORMALITY 1
LESION_TYPE MASS SHAPE LOBULATED MARGINS CIRCUMSCRIBED
ASSESSMENT 3
SUBTLETY 5
PATHOLOGY BENIGN
TOTAL_OUTLINES 1 
BOUNDARY
FILE: C_0380_1.LEFT_CC.OVERLAY

TOTAL_ABNORMALITIES 1
ABNORMALITY 1
LESION_TYPE MASS SHAPE LOBULATED MARGINS CIRCUMSCRIBED
ASSESSMENT 3
SUBTLETY 5
PATHOLOGY BENIGN
TOTAL_OUTLINES 1 
BOUNDARY