Digital Database for Screening Mammography

Volume: benign_06 Case: C-0381-1


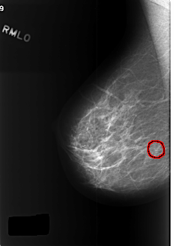
C_0381_1.RIGHT_MLO

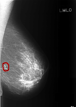
C_0381_1.LEFT_MLO

C_0381_1.RIGHT_CC

C_0381_1.LEFT_CC

ics_version 1.0
filename C-0381-1
DATE_OF_STUDY 12 9 1996
PATIENT_AGE 45
FILM
FILM_TYPE REGULAR
DENSITY 2
DATE_DIGITIZED 10 11 1998
DIGITIZER LUMISYS LASER
SEQUENCE
LEFT_CC LINES 5720 PIXELS_PER_LINE 4040 BITS_PER_PIXEL 12 RESOLUTION 50 OVERLAY
LEFT_MLO LINES 5576 PIXELS_PER_LINE 3976 BITS_PER_PIXEL 12 RESOLUTION 50 OVERLAY
RIGHT_CC LINES 5784 PIXELS_PER_LINE 3696 BITS_PER_PIXEL 12 RESOLUTION 50 OVERLAY
RIGHT_MLO LINES 5728 PIXELS_PER_LINE 4040 BITS_PER_PIXEL 12 RESOLUTION 50 OVERLAY

FILE: C_0381_1.LEFT_MLO.OVERLAY

TOTAL_ABNORMALITIES 1
ABNORMALITY 1
LESION_TYPE CALCIFICATION TYPE N/A DISTRIBUTION LINEAR
ASSESSMENT 2
SUBTLETY 5
PATHOLOGY BENIGN
TOTAL_OUTLINES 1 
BOUNDARY
FILE: C_0381_1.RIGHT_MLO.OVERLAY

TOTAL_ABNORMALITIES 1
ABNORMALITY 1
LESION_TYPE CALCIFICATION TYPE AMORPHOUS DISTRIBUTION CLUSTERED
ASSESSMENT 4
SUBTLETY 5
PATHOLOGY BENIGN
TOTAL_OUTLINES 1 
BOUNDARY
FILE: C_0381_1.LEFT_CC.OVERLAY

TOTAL_ABNORMALITIES 1
ABNORMALITY 1
LESION_TYPE CALCIFICATION TYPE LUCENT_CENTERED DISTRIBUTION LINEAR
ASSESSMENT 2
SUBTLETY 5
PATHOLOGY BENIGN
TOTAL_OUTLINES 1 
BOUNDARY
FILE: C_0381_1.RIGHT_CC.OVERLAY

TOTAL_ABNORMALITIES 1
ABNORMALITY 1
LESION_TYPE CALCIFICATION TYPE AMORPHOUS DISTRIBUTION CLUSTERED
ASSESSMENT 4
SUBTLETY 5
PATHOLOGY BENIGN
TOTAL_OUTLINES 1 
BOUNDARY