![]() |
![]() |
![]() |
![]() |
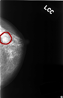
ics_version 1.0 filename C-0385-1 DATE_OF_STUDY 20 5 1996 PATIENT_AGE 40 FILM FILM_TYPE REGULAR DENSITY 2 DATE_DIGITIZED 9 11 1998 DIGITIZER LUMISYS LASER SEQUENCE LEFT_CC LINES 4464 PIXELS_PER_LINE 2872 BITS_PER_PIXEL 12 RESOLUTION 50 OVERLAY LEFT_MLO LINES 4432 PIXELS_PER_LINE 2856 BITS_PER_PIXEL 12 RESOLUTION 50 OVERLAY RIGHT_CC LINES 4560 PIXELS_PER_LINE 2776 BITS_PER_PIXEL 12 RESOLUTION 50 NON_OVERLAY RIGHT_MLO LINES 4576 PIXELS_PER_LINE 2808 BITS_PER_PIXEL 12 RESOLUTION 50 NON_OVERLAY |
FILE: C_0385_1.LEFT_MLO.OVERLAY TOTAL_ABNORMALITIES 1 ABNORMALITY 1 LESION_TYPE MASS SHAPE OVAL MARGINS ILL_DEFINED ASSESSMENT 4 SUBTLETY 4 PATHOLOGY BENIGN TOTAL_OUTLINES 1 BOUNDARY |
FILE: C_0385_1.LEFT_CC.OVERLAY TOTAL_ABNORMALITIES 1 ABNORMALITY 1 LESION_TYPE MASS SHAPE OVAL MARGINS OBSCURED ASSESSMENT 4 SUBTLETY 4 PATHOLOGY BENIGN TOTAL_OUTLINES 1 BOUNDARY |