Digital Database for Screening Mammography

Volume: benign_06 Case: C-0387-1


C_0387_1.RIGHT_MLO

C_0387_1.LEFT_MLO

C_0387_1.RIGHT_CC

C_0387_1.LEFT_CC

ics_version 1.0
filename C-0387-1
DATE_OF_STUDY 31 10 1996
PATIENT_AGE 36
FILM
FILM_TYPE REGULAR
DENSITY 1
DATE_DIGITIZED 10 11 1998
DIGITIZER LUMISYS LASER
SEQUENCE
LEFT_CC LINES 5896 PIXELS_PER_LINE 4008 BITS_PER_PIXEL 12 RESOLUTION 50 NON_OVERLAY
LEFT_MLO LINES 5784 PIXELS_PER_LINE 4088 BITS_PER_PIXEL 12 RESOLUTION 50 NON_OVERLAY
RIGHT_CC LINES 5920 PIXELS_PER_LINE 3736 BITS_PER_PIXEL 12 RESOLUTION 50 OVERLAY
RIGHT_MLO LINES 5944 PIXELS_PER_LINE 3712 BITS_PER_PIXEL 12 RESOLUTION 50 OVERLAY

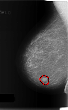
FILE: C_0387_1.RIGHT_MLO.OVERLAY

TOTAL_ABNORMALITIES 1
ABNORMALITY 1
LESION_TYPE MASS SHAPE LOBULATED MARGINS CIRCUMSCRIBED
ASSESSMENT 3
SUBTLETY 5
PATHOLOGY BENIGN
TOTAL_OUTLINES 1 
BOUNDARY
FILE: C_0387_1.RIGHT_CC.OVERLAY

TOTAL_ABNORMALITIES 1
ABNORMALITY 1
LESION_TYPE MASS SHAPE LOBULATED MARGINS CIRCUMSCRIBED
ASSESSMENT 3
SUBTLETY 5
PATHOLOGY BENIGN
TOTAL_OUTLINES 1 
BOUNDARY