Digital Database for Screening Mammography

Volume: benign_06 Case: C-0395-1


C_0395_1.RIGHT_MLO

C_0395_1.LEFT_MLO

C_0395_1.RIGHT_CC

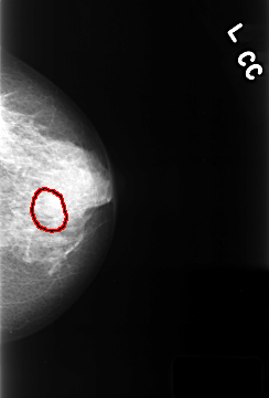
C_0395_1.LEFT_CC

ics_version 1.0
filename C-0395-1
DATE_OF_STUDY 26 6 1996
PATIENT_AGE 73
FILM
FILM_TYPE REGULAR
DENSITY 3
DATE_DIGITIZED 15 10 1998
DIGITIZER LUMISYS LASER
SEQUENCE
LEFT_CC LINES 4320 PIXELS_PER_LINE 2928 BITS_PER_PIXEL 12 RESOLUTION 50 OVERLAY
LEFT_MLO LINES 4296 PIXELS_PER_LINE 2936 BITS_PER_PIXEL 12 RESOLUTION 50 OVERLAY
RIGHT_CC LINES 4384 PIXELS_PER_LINE 2856 BITS_PER_PIXEL 12 RESOLUTION 50 NON_OVERLAY
RIGHT_MLO LINES 4360 PIXELS_PER_LINE 2856 BITS_PER_PIXEL 12 RESOLUTION 50 NON_OVERLAY

FILE: C_0395_1.LEFT_MLO.OVERLAY

TOTAL_ABNORMALITIES 1
ABNORMALITY 1
LESION_TYPE MASS SHAPE LOBULATED MARGINS CIRCUMSCRIBED
ASSESSMENT 3
SUBTLETY 4
PATHOLOGY BENIGN
TOTAL_OUTLINES 1 
BOUNDARY
FILE: C_0395_1.LEFT_CC.OVERLAY

TOTAL_ABNORMALITIES 1
ABNORMALITY 1
LESION_TYPE MASS SHAPE LOBULATED MARGINS CIRCUMSCRIBED
ASSESSMENT 3
SUBTLETY 4
PATHOLOGY BENIGN
TOTAL_OUTLINES 1 
BOUNDARY