Digital Database for Screening Mammography

Volume: benign_06 Case: C-0409-1


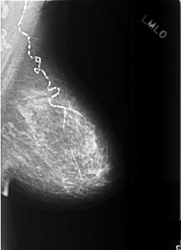
C_0409_1.RIGHT_MLO

C_0409_1.LEFT_MLO

C_0409_1.RIGHT_CC

C_0409_1.LEFT_CC

ics_version 1.0
filename C-0409-1
DATE_OF_STUDY 21 6 1996
PATIENT_AGE 58
FILM
FILM_TYPE REGULAR
DENSITY 2
DATE_DIGITIZED 12 11 1998
DIGITIZER LUMISYS LASER
SEQUENCE
LEFT_CC LINES 5592 PIXELS_PER_LINE 3960 BITS_PER_PIXEL 12 RESOLUTION 50 NON_OVERLAY
LEFT_MLO LINES 5648 PIXELS_PER_LINE 4088 BITS_PER_PIXEL 12 RESOLUTION 50 NON_OVERLAY
RIGHT_CC LINES 5632 PIXELS_PER_LINE 3896 BITS_PER_PIXEL 12 RESOLUTION 50 OVERLAY
RIGHT_MLO LINES 5688 PIXELS_PER_LINE 3920 BITS_PER_PIXEL 12 RESOLUTION 50 OVERLAY

FILE: C_0409_1.RIGHT_MLO.OVERLAY

TOTAL_ABNORMALITIES 1
ABNORMALITY 1
LESION_TYPE CALCIFICATION TYPE PLEOMORPHIC DISTRIBUTION CLUSTERED
ASSESSMENT 4
SUBTLETY 5
PATHOLOGY BENIGN
TOTAL_OUTLINES 1 
BOUNDARY
FILE: C_0409_1.RIGHT_CC.OVERLAY

TOTAL_ABNORMALITIES 1
ABNORMALITY 1
LESION_TYPE CALCIFICATION TYPE PLEOMORPHIC DISTRIBUTION CLUSTERED
ASSESSMENT 4
SUBTLETY 5
PATHOLOGY BENIGN
TOTAL_OUTLINES 1 
BOUNDARY