Digital Database for Screening Mammography

Volume: benign_06 Case: B-3226-1


B_3226_1.RIGHT_MLO

B_3226_1.LEFT_MLO

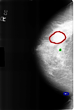
B_3226_1.RIGHT_CC

B_3226_1.LEFT_CC

ics_version 1.0
filename B-3226-1
DATE_OF_STUDY 7 7 1998
PATIENT_AGE 51
FILM
FILM_TYPE REGULAR
DENSITY 3
DATE_DIGITIZED 13 7 1998
DIGITIZER LUMISYS LASER
SEQUENCE
LEFT_CC LINES 4600 PIXELS_PER_LINE 3048 BITS_PER_PIXEL 12 RESOLUTION 50 NON_OVERLAY
LEFT_MLO LINES 4528 PIXELS_PER_LINE 3088 BITS_PER_PIXEL 12 RESOLUTION 50 NON_OVERLAY
RIGHT_CC LINES 4608 PIXELS_PER_LINE 3112 BITS_PER_PIXEL 12 RESOLUTION 50 OVERLAY
RIGHT_MLO LINES 4624 PIXELS_PER_LINE 3088 BITS_PER_PIXEL 12 RESOLUTION 50 OVERLAY

FILE: B_3226_1.RIGHT_MLO.OVERLAY

TOTAL_ABNORMALITIES 3
ABNORMALITY 1
LESION_TYPE CALCIFICATION TYPE COARSE DISTRIBUTION N/A
ASSESSMENT 2
SUBTLETY 3
PATHOLOGY BENIGN_WITHOUT_CALLBACK
TOTAL_OUTLINES 1 
BOUNDARY
ABNORMALITY 2
LESION_TYPE MASS SHAPE OVAL MARGINS CIRCUMSCRIBED-OBSCURED
ASSESSMENT 2
SUBTLETY 3
PATHOLOGY BENIGN
TOTAL_OUTLINES 1 
BOUNDARY
ABNORMALITY 3
LESION_TYPE CALCIFICATION TYPE COARSE DISTRIBUTION N/A
ASSESSMENT 2
SUBTLETY 3
PATHOLOGY BENIGN_WITHOUT_CALLBACK
TOTAL_OUTLINES 1 
BOUNDARY
FILE: B_3226_1.RIGHT_CC.OVERLAY

TOTAL_ABNORMALITIES 3
ABNORMALITY 1
LESION_TYPE MASS SHAPE OVAL MARGINS CIRCUMSCRIBED-OBSCURED
ASSESSMENT 2
SUBTLETY 3
PATHOLOGY BENIGN
TOTAL_OUTLINES 1 
BOUNDARY
ABNORMALITY 2
LESION_TYPE CALCIFICATION TYPE COARSE DISTRIBUTION N/A
ASSESSMENT 2
SUBTLETY 3
PATHOLOGY BENIGN_WITHOUT_CALLBACK
TOTAL_OUTLINES 1 
BOUNDARY
ABNORMALITY 3
LESION_TYPE CALCIFICATION TYPE COARSE DISTRIBUTION N/A
ASSESSMENT 2
SUBTLETY 3
PATHOLOGY BENIGN_WITHOUT_CALLBACK
TOTAL_OUTLINES 1 
BOUNDARY