Digital Database for Screening Mammography

Volume: benign_06 Case: B-3362-1


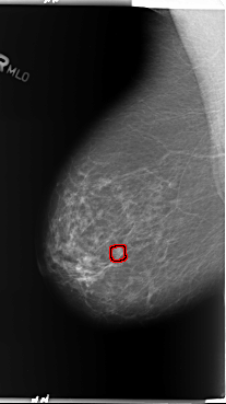
B_3362_1.RIGHT_MLO

B_3362_1.LEFT_MLO

B_3362_1.RIGHT_CC

B_3362_1.LEFT_CC

ics_version 1.0
filename B-3362-1
DATE_OF_STUDY 14 8 1997
PATIENT_AGE 77
FILM
FILM_TYPE REGULAR
DENSITY 2
DATE_DIGITIZED 4 6 1998
DIGITIZER LUMISYS LASER
SEQUENCE
LEFT_CC LINES 5936 PIXELS_PER_LINE 3304 BITS_PER_PIXEL 12 RESOLUTION 50 NON_OVERLAY
LEFT_MLO LINES 5888 PIXELS_PER_LINE 3528 BITS_PER_PIXEL 12 RESOLUTION 50 NON_OVERLAY
RIGHT_CC LINES 5896 PIXELS_PER_LINE 3040 BITS_PER_PIXEL 12 RESOLUTION 50 OVERLAY
RIGHT_MLO LINES 5896 PIXELS_PER_LINE 3312 BITS_PER_PIXEL 12 RESOLUTION 50 OVERLAY

FILE: B_3362_1.RIGHT_MLO.OVERLAY

TOTAL_ABNORMALITIES 1
ABNORMALITY 1
LESION_TYPE CALCIFICATION TYPE PUNCTATE-PLEOMORPHIC DISTRIBUTION CLUSTERED
LESION_TYPE MASS SHAPE ROUND MARGINS CIRCUMSCRIBED-ILL_DEFINED
ASSESSMENT 3
SUBTLETY 3
PATHOLOGY BENIGN
TOTAL_OUTLINES 1 
BOUNDARY
FILE: B_3362_1.RIGHT_CC.OVERLAY

TOTAL_ABNORMALITIES 1
ABNORMALITY 1
LESION_TYPE CALCIFICATION TYPE ROUND_AND_REGULAR DISTRIBUTION CLUSTERED
LESION_TYPE MASS SHAPE IRREGULAR MARGINS MICROLOBULATED-ILL_DEFINED
ASSESSMENT 3
SUBTLETY 3
PATHOLOGY BENIGN
TOTAL_OUTLINES 1 
BOUNDARY