Digital Database for Screening Mammography

Volume: benign_06 Case: B-3400-1


B_3400_1.RIGHT_MLO

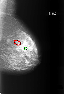
B_3400_1.LEFT_MLO

B_3400_1.RIGHT_CC

B_3400_1.LEFT_CC

ics_version 1.0
filename B-3400-1
DATE_OF_STUDY 23 12 1997
PATIENT_AGE 50
FILM
FILM_TYPE REGULAR
DENSITY 3
DATE_DIGITIZED 29 10 1998
DIGITIZER LUMISYS LASER
SEQUENCE
LEFT_CC LINES 5856 PIXELS_PER_LINE 4016 BITS_PER_PIXEL 12 RESOLUTION 50 OVERLAY
LEFT_MLO LINES 5880 PIXELS_PER_LINE 4000 BITS_PER_PIXEL 12 RESOLUTION 50 OVERLAY
RIGHT_CC LINES 5912 PIXELS_PER_LINE 3720 BITS_PER_PIXEL 12 RESOLUTION 50 NON_OVERLAY
RIGHT_MLO LINES 5104 PIXELS_PER_LINE 3232 BITS_PER_PIXEL 12 RESOLUTION 50 NON_OVERLAY

FILE: B_3400_1.LEFT_MLO.OVERLAY

TOTAL_ABNORMALITIES 2
ABNORMALITY 1
LESION_TYPE CALCIFICATION TYPE PUNCTATE DISTRIBUTION SEGMENTAL
ASSESSMENT 4
SUBTLETY 3
PATHOLOGY BENIGN
TOTAL_OUTLINES 1 
BOUNDARY
ABNORMALITY 2
LESION_TYPE CALCIFICATION TYPE PUNCTATE DISTRIBUTION SEGMENTAL
ASSESSMENT 4
SUBTLETY 3
PATHOLOGY BENIGN
TOTAL_OUTLINES 1 
BOUNDARY
FILE: B_3400_1.LEFT_CC.OVERLAY

TOTAL_ABNORMALITIES 2
ABNORMALITY 1
LESION_TYPE CALCIFICATION TYPE PLEOMORPHIC DISTRIBUTION SEGMENTAL
ASSESSMENT 4
SUBTLETY 3
PATHOLOGY BENIGN
TOTAL_OUTLINES 1 
BOUNDARY
ABNORMALITY 2
LESION_TYPE CALCIFICATION TYPE PLEOMORPHIC DISTRIBUTION SEGMENTAL
ASSESSMENT 4
SUBTLETY 3
PATHOLOGY BENIGN
TOTAL_OUTLINES 1 
BOUNDARY