Digital Database for Screening Mammography

Volume: benign_07 Case: A-1512-1


A_1512_1.LEFT_MLO

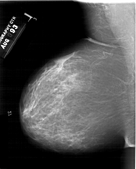
A_1512_1.RIGHT_MLO

A_1512_1.LEFT_CC

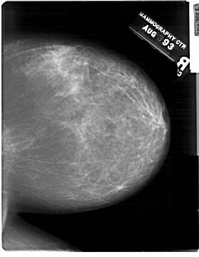
A_1512_1.RIGHT_CC

ics_version 1.0
filename A-1512-1
DATE_OF_STUDY 7 4 1993
PATIENT_AGE 40
FILM
FILM_TYPE REGULAR
DENSITY 3
DATE_DIGITIZED 7 10 1998
DIGITIZER HOWTEK 43.5
SEQUENCE
LEFT_CC LINES 6661 PIXELS_PER_LINE 4981 BITS_PER_PIXEL 12 RESOLUTION 43.5 NON_OVERLAY
LEFT_MLO LINES 6271 PIXELS_PER_LINE 5056 BITS_PER_PIXEL 12 RESOLUTION 43.5 NON_OVERLAY
RIGHT_CC LINES 6871 PIXELS_PER_LINE 5311 BITS_PER_PIXEL 12 RESOLUTION 43.5 NON_OVERLAY
RIGHT_MLO LINES 6511 PIXELS_PER_LINE 5356 BITS_PER_PIXEL 12 RESOLUTION 43.5 OVERLAY

FILE: A_1512_1.RIGHT_MLO.OVERLAY

TOTAL_ABNORMALITIES 1
ABNORMALITY 1 
LESION_TYPE MASS SHAPE OVAL MARGINS CIRCUMSCRIBED
ASSESSMENT 4 
SUBTLETY 2 
PATHOLOGY MALIGNANT
TOTAL_OUTLINES 1 
BOUNDARY