Digital Database for Screening Mammography

Volume: benign_07 Case: A-1599-1


A_1599_1.LEFT_MLO

A_1599_1.RIGHT_MLO

A_1599_1.LEFT_CC

A_1599_1.RIGHT_CC

ics_version 1.0
filename A-1599-1
DATE_OF_STUDY 31 3 1992
PATIENT_AGE 62
FILM
FILM_TYPE REGULAR
DENSITY 2
DATE_DIGITIZED 5 1 1999
DIGITIZER HOWTEK 43.5
SEQUENCE
LEFT_CC LINES 5491 PIXELS_PER_LINE 3316 BITS_PER_PIXEL 12 RESOLUTION 43.5 OVERLAY
LEFT_MLO LINES 5491 PIXELS_PER_LINE 3271 BITS_PER_PIXEL 12 RESOLUTION 43.5 OVERLAY
RIGHT_CC LINES 5416 PIXELS_PER_LINE 2956 BITS_PER_PIXEL 12 RESOLUTION 43.5 OVERLAY
RIGHT_MLO LINES 5326 PIXELS_PER_LINE 2716 BITS_PER_PIXEL 12 RESOLUTION 43.5 OVERLAY

FILE: A_1599_1.LEFT_MLO.OVERLAY

TOTAL_ABNORMALITIES 1
ABNORMALITY 1 
LESION_TYPE CALCIFICATION TYPE PLEOMORPHIC DISTRIBUTION CLUSTERED
ASSESSMENT 4 
SUBTLETY 1 
PATHOLOGY MALIGNANT
TOTAL_OUTLINES 1 
BOUNDARY
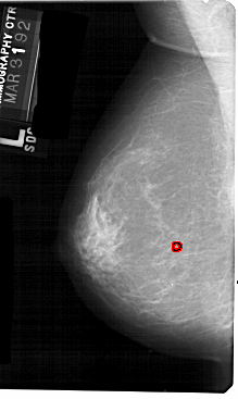
FILE: A_1599_1.RIGHT_MLO.OVERLAY

TOTAL_ABNORMALITIES 1
ABNORMALITY 1 
LESION_TYPE MASS SHAPE ASYMMETRIC_BREAST_TISSUE MARGINS OBSCURED
ASSESSMENT 4 
SUBTLETY 1 
PATHOLOGY BENIGN_WITHOUT_CALLBACK
TOTAL_OUTLINES 1 
BOUNDARY
FILE: A_1599_1.LEFT_CC.OVERLAY

TOTAL_ABNORMALITIES 1
ABNORMALITY 1 
LESION_TYPE CALCIFICATION TYPE PLEOMORPHIC DISTRIBUTION CLUSTERED
ASSESSMENT 4 
SUBTLETY 1 
PATHOLOGY MALIGNANT
TOTAL_OUTLINES 1 
BOUNDARY
FILE: A_1599_1.RIGHT_CC.OVERLAY

TOTAL_ABNORMALITIES 1
ABNORMALITY 1 
LESION_TYPE MASS SHAPE ASYMMETRIC_BREAST_TISSUE MARGINS OBSCURED
ASSESSMENT 2 
SUBTLETY 5 
PATHOLOGY BENIGN_WITHOUT_CALLBACK
TOTAL_OUTLINES 1 
BOUNDARY