Digital Database for Screening Mammography

Volume: benign_07 Case: A-1689-1


A_1689_1.LEFT_MLO

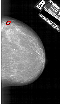
A_1689_1.RIGHT_MLO

A_1689_1.LEFT_CC

A_1689_1.RIGHT_CC

ics_version 1.0
filename A-1689-1
DATE_OF_STUDY 5 8 1994
PATIENT_AGE 41
FILM
FILM_TYPE REGULAR
DENSITY 2
DATE_DIGITIZED 19 2 1999
DIGITIZER HOWTEK 43.5
SEQUENCE
LEFT_CC LINES 5791 PIXELS_PER_LINE 3556 BITS_PER_PIXEL 12 RESOLUTION 43.5 NON_OVERLAY
LEFT_MLO LINES 5941 PIXELS_PER_LINE 3706 BITS_PER_PIXEL 12 RESOLUTION 43.5 NON_OVERLAY
RIGHT_CC LINES 5836 PIXELS_PER_LINE 3331 BITS_PER_PIXEL 12 RESOLUTION 43.5 OVERLAY
RIGHT_MLO LINES 6211 PIXELS_PER_LINE 3481 BITS_PER_PIXEL 12 RESOLUTION 43.5 OVERLAY

FILE: A_1689_1.RIGHT_MLO.OVERLAY

TOTAL_ABNORMALITIES 1
ABNORMALITY 1 
LESION_TYPE MASS SHAPE OVAL MARGINS CIRCUMSCRIBED
ASSESSMENT 4 
SUBTLETY 3 
PATHOLOGY BENIGN
TOTAL_OUTLINES 1 
BOUNDARY
FILE: A_1689_1.RIGHT_CC.OVERLAY

TOTAL_ABNORMALITIES 1
ABNORMALITY 1 
LESION_TYPE MASS SHAPE OVAL MARGINS CIRCUMSCRIBED
ASSESSMENT 4 
SUBTLETY 3 
PATHOLOGY BENIGN
TOTAL_OUTLINES 1 
BOUNDARY