Digital Database for Screening Mammography

Volume: benign_08 Case: A-1715-1


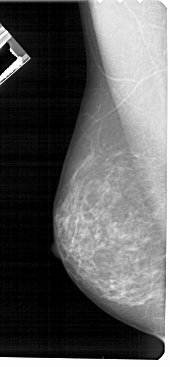
A_1715_1.LEFT_MLO

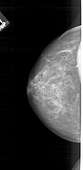
A_1715_1.RIGHT_MLO

A_1715_1.LEFT_CC

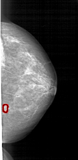
A_1715_1.RIGHT_CC

ics_version 1.0
filename A-1715-1
DATE_OF_STUDY 17 2 1995
PATIENT_AGE 40
FILM
FILM_TYPE REGULAR
DENSITY 3
DATE_DIGITIZED 12 3 1999
DIGITIZER HOWTEK 43.5
SEQUENCE
LEFT_CC LINES 4861 PIXELS_PER_LINE 2371 BITS_PER_PIXEL 12 RESOLUTION 43.5 NON_OVERLAY
LEFT_MLO LINES 5491 PIXELS_PER_LINE 2536 BITS_PER_PIXEL 12 RESOLUTION 43.5 NON_OVERLAY
RIGHT_CC LINES 4591 PIXELS_PER_LINE 2251 BITS_PER_PIXEL 12 RESOLUTION 43.5 OVERLAY
RIGHT_MLO LINES 5491 PIXELS_PER_LINE 2386 BITS_PER_PIXEL 12 RESOLUTION 43.5 OVERLAY

FILE: A_1715_1.RIGHT_MLO.OVERLAY

TOTAL_ABNORMALITIES 1
ABNORMALITY 1 
LESION_TYPE MASS SHAPE LOBULATED MARGINS OBSCURED
ASSESSMENT 3 
SUBTLETY 3 
PATHOLOGY BENIGN
TOTAL_OUTLINES 1 
BOUNDARY
FILE: A_1715_1.RIGHT_CC.OVERLAY

TOTAL_ABNORMALITIES 1
ABNORMALITY 1 
LESION_TYPE MASS SHAPE LOBULATED MARGINS OBSCURED
ASSESSMENT 3 
SUBTLETY 3 
PATHOLOGY BENIGN
TOTAL_OUTLINES 1 
BOUNDARY