![]() |
![]() |
![]() |
![]() |
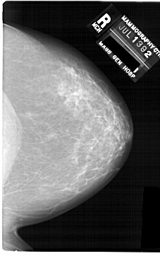
ics_version 1.0 filename A-1742-1 DATE_OF_STUDY 13 7 1992 PATIENT_AGE 48 FILM FILM_TYPE REGULAR DENSITY 3 DATE_DIGITIZED 3 3 1999 DIGITIZER HOWTEK 43.5 SEQUENCE LEFT_CC LINES 6871 PIXELS_PER_LINE 4096 BITS_PER_PIXEL 12 RESOLUTION 43.5 OVERLAY LEFT_MLO LINES 6871 PIXELS_PER_LINE 4666 BITS_PER_PIXEL 12 RESOLUTION 43.5 OVERLAY RIGHT_CC LINES 6871 PIXELS_PER_LINE 4306 BITS_PER_PIXEL 12 RESOLUTION 43.5 NON_OVERLAY RIGHT_MLO LINES 6871 PIXELS_PER_LINE 4606 BITS_PER_PIXEL 12 RESOLUTION 43.5 NON_OVERLAY |
FILE: A_1742_1.LEFT_MLO.OVERLAY TOTAL_ABNORMALITIES 1 ABNORMALITY 1 LESION_TYPE MASS SHAPE LOBULATED MARGINS CIRCUMSCRIBED ASSESSMENT 4 SUBTLETY 2 PATHOLOGY BENIGN TOTAL_OUTLINES 1 BOUNDARY |
FILE: A_1742_1.LEFT_CC.OVERLAY TOTAL_ABNORMALITIES 1 ABNORMALITY 1 LESION_TYPE MASS SHAPE LOBULATED MARGINS CIRCUMSCRIBED ASSESSMENT 4 SUBTLETY 2 PATHOLOGY BENIGN TOTAL_OUTLINES 1 BOUNDARY |