Digital Database for Screening Mammography

Volume: benign_08 Case: A-1743-1


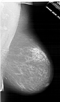
A_1743_1.LEFT_MLO

A_1743_1.RIGHT_MLO

A_1743_1.LEFT_CC

A_1743_1.RIGHT_CC

ics_version 1.0
filename A-1743-1
DATE_OF_STUDY 11 7 1996
PATIENT_AGE 69
FILM
FILM_TYPE REGULAR
DENSITY 3
DATE_DIGITIZED 3 3 1999
DIGITIZER HOWTEK 43.5
SEQUENCE
LEFT_CC LINES 6601 PIXELS_PER_LINE 4201 BITS_PER_PIXEL 12 RESOLUTION 43.5 OVERLAY
LEFT_MLO LINES 6871 PIXELS_PER_LINE 4516 BITS_PER_PIXEL 12 RESOLUTION 43.5 OVERLAY
RIGHT_CC LINES 6871 PIXELS_PER_LINE 3946 BITS_PER_PIXEL 12 RESOLUTION 43.5 NON_OVERLAY
RIGHT_MLO LINES 6526 PIXELS_PER_LINE 3811 BITS_PER_PIXEL 12 RESOLUTION 43.5 NON_OVERLAY

FILE: A_1743_1.LEFT_MLO.OVERLAY

TOTAL_ABNORMALITIES 1
ABNORMALITY 1 
LESION_TYPE CALCIFICATION TYPE PLEOMORPHIC DISTRIBUTION CLUSTERED
ASSESSMENT 4 
SUBTLETY 2 
PATHOLOGY BENIGN
TOTAL_OUTLINES 1 
BOUNDARY
FILE: A_1743_1.LEFT_CC.OVERLAY

TOTAL_ABNORMALITIES 1
ABNORMALITY 1 
LESION_TYPE CALCIFICATION TYPE PLEOMORPHIC DISTRIBUTION CLUSTERED
ASSESSMENT 4 
SUBTLETY 2 
PATHOLOGY BENIGN
TOTAL_OUTLINES 1 
BOUNDARY