Digital Database for Screening Mammography

Volume: benign_08 Case: A-1747-1


A_1747_1.LEFT_MLO

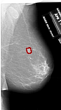
A_1747_1.RIGHT_MLO

A_1747_1.LEFT_CC

A_1747_1.RIGHT_CC

ics_version 1.0
filename A-1747-1
DATE_OF_STUDY 14 4 1993
PATIENT_AGE 65
FILM
FILM_TYPE REGULAR
DENSITY 2
DATE_DIGITIZED 3 3 1999
DIGITIZER HOWTEK 43.5
SEQUENCE
LEFT_CC LINES 6481 PIXELS_PER_LINE 3376 BITS_PER_PIXEL 12 RESOLUTION 43.5 NON_OVERLAY
LEFT_MLO LINES 6421 PIXELS_PER_LINE 3541 BITS_PER_PIXEL 12 RESOLUTION 43.5 NON_OVERLAY
RIGHT_CC LINES 6181 PIXELS_PER_LINE 3121 BITS_PER_PIXEL 12 RESOLUTION 43.5 OVERLAY
RIGHT_MLO LINES 6421 PIXELS_PER_LINE 3571 BITS_PER_PIXEL 12 RESOLUTION 43.5 OVERLAY

FILE: A_1747_1.RIGHT_MLO.OVERLAY

TOTAL_ABNORMALITIES 1
ABNORMALITY 1 
LESION_TYPE MASS SHAPE LOBULATED MARGINS ILL_DEFINED
ASSESSMENT 4 
SUBTLETY 3 
PATHOLOGY BENIGN
TOTAL_OUTLINES 1 
BOUNDARY
FILE: A_1747_1.RIGHT_CC.OVERLAY

TOTAL_ABNORMALITIES 1
ABNORMALITY 1 
LESION_TYPE MASS SHAPE LOBULATED MARGINS ILL_DEFINED
ASSESSMENT 4 
SUBTLETY 3 
PATHOLOGY BENIGN
TOTAL_OUTLINES 1 
BOUNDARY