Digital Database for Screening Mammography

Volume: benign_08 Case: A-1781-1


A_1781_1.LEFT_MLO

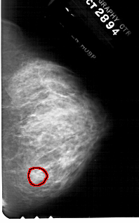
A_1781_1.RIGHT_MLO

A_1781_1.LEFT_CC

A_1781_1.RIGHT_CC

ics_version 1.0
filename A-1781-1
DATE_OF_STUDY 28 10 1994
PATIENT_AGE 34
FILM
FILM_TYPE REGULAR
DENSITY 4
DATE_DIGITIZED 27 4 1999
DIGITIZER HOWTEK 43.5
SEQUENCE
LEFT_CC LINES 5191 PIXELS_PER_LINE 3061 BITS_PER_PIXEL 12 RESOLUTION 43.5 NON_OVERLAY
LEFT_MLO LINES 5491 PIXELS_PER_LINE 3526 BITS_PER_PIXEL 12 RESOLUTION 43.5 NON_OVERLAY
RIGHT_CC LINES 4756 PIXELS_PER_LINE 2956 BITS_PER_PIXEL 12 RESOLUTION 43.5 OVERLAY
RIGHT_MLO LINES 5491 PIXELS_PER_LINE 3256 BITS_PER_PIXEL 12 RESOLUTION 43.5 OVERLAY

FILE: A_1781_1.RIGHT_MLO.OVERLAY

TOTAL_ABNORMALITIES 1
ABNORMALITY 1 
LESION_TYPE MASS SHAPE OVAL MARGINS ILL_DEFINED
ASSESSMENT 4 
SUBTLETY 3 
PATHOLOGY BENIGN
TOTAL_OUTLINES 1 
BOUNDARY
FILE: A_1781_1.RIGHT_CC.OVERLAY

TOTAL_ABNORMALITIES 1
ABNORMALITY 1 
LESION_TYPE MASS SHAPE OVAL MARGINS ILL_DEFINED
ASSESSMENT 4 
SUBTLETY 3 
PATHOLOGY BENIGN
TOTAL_OUTLINES 1 
BOUNDARY