Digital Database for Screening Mammography

Volume: benign_09 Case: D-4023-1


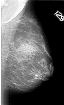
D_4023_1.RIGHT_MLO

D_4023_1.LEFT_MLO

D_4023_1.RIGHT_CC

D_4023_1.LEFT_CC

ics_version 1.0
filename D-4023-1
DATE_OF_STUDY 8 10 1998
PATIENT_AGE 61
FILM
FILM_TYPE REGULAR
DENSITY 2
DATE_DIGITIZED 4 5 1999
DIGITIZER HOWTEK 43.5
SEQUENCE
LEFT_CC LINES 5221 PIXELS_PER_LINE 3166 BITS_PER_PIXEL 12 RESOLUTION 43.5 NON_OVERLAY
LEFT_MLO LINES 5266 PIXELS_PER_LINE 3211 BITS_PER_PIXEL 12 RESOLUTION 43.5 NON_OVERLAY
RIGHT_CC LINES 5176 PIXELS_PER_LINE 2896 BITS_PER_PIXEL 12 RESOLUTION 43.5 OVERLAY
RIGHT_MLO LINES 5281 PIXELS_PER_LINE 3211 BITS_PER_PIXEL 12 RESOLUTION 43.5 OVERLAY

FILE: D_4023_1.RIGHT_MLO.OVERLAY

TOTAL_ABNORMALITIES 1
ABNORMALITY 1 
LESION_TYPE MASS SHAPE OVAL MARGINS OBSCURED
ASSESSMENT 0 
SUBTLETY 2 
PATHOLOGY BENIGN
TOTAL_OUTLINES 1 
BOUNDARY
FILE: D_4023_1.RIGHT_CC.OVERLAY

TOTAL_ABNORMALITIES 1
ABNORMALITY 1 
LESION_TYPE MASS SHAPE OVAL MARGINS OBSCURED
ASSESSMENT 0 
SUBTLETY 2 
PATHOLOGY BENIGN
TOTAL_OUTLINES 1 
BOUNDARY