Digital Database for Screening Mammography

Volume: benign_09 Case: D-4026-1


D_4026_1.RIGHT_MLO

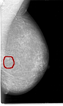
D_4026_1.LEFT_MLO

D_4026_1.RIGHT_CC

D_4026_1.LEFT_CC

ics_version 1.0
filename D-4026-1
DATE_OF_STUDY 20 4 1994
PATIENT_AGE 39
FILM
FILM_TYPE REGULAR
DENSITY 2
DATE_DIGITIZED 4 5 1999
DIGITIZER HOWTEK 43.5
SEQUENCE
LEFT_CC LINES 5386 PIXELS_PER_LINE 3106 BITS_PER_PIXEL 12 RESOLUTION 43.5 OVERLAY
LEFT_MLO LINES 5386 PIXELS_PER_LINE 3181 BITS_PER_PIXEL 12 RESOLUTION 43.5 OVERLAY
RIGHT_CC LINES 5206 PIXELS_PER_LINE 2911 BITS_PER_PIXEL 12 RESOLUTION 43.5 NON_OVERLAY
RIGHT_MLO LINES 5281 PIXELS_PER_LINE 3031 BITS_PER_PIXEL 12 RESOLUTION 43.5 NON_OVERLAY

FILE: D_4026_1.LEFT_MLO.OVERLAY

TOTAL_ABNORMALITIES 1
ABNORMALITY 1 
LESION_TYPE MASS SHAPE OVAL MARGINS OBSCURED
ASSESSMENT 0 
SUBTLETY 3 
PATHOLOGY BENIGN
TOTAL_OUTLINES 1 
BOUNDARY
FILE: D_4026_1.LEFT_CC.OVERLAY

TOTAL_ABNORMALITIES 1
ABNORMALITY 1 
LESION_TYPE MASS SHAPE OVAL MARGINS OBSCURED
ASSESSMENT 0 
SUBTLETY 3 
PATHOLOGY BENIGN
TOTAL_OUTLINES 1 
BOUNDARY