Digital Database for Screening Mammography

Volume: benign_09 Case: D-4061-1


D_4061_1.RIGHT_MLO

D_4061_1.LEFT_MLO

D_4061_1.RIGHT_CC

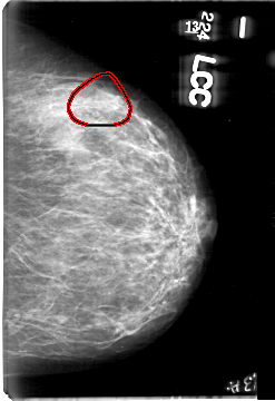
D_4061_1.LEFT_CC

ics_version 1.0
filename D-4061-1
DATE_OF_STUDY 11 6 1998
PATIENT_AGE 41
FILM
FILM_TYPE REGULAR
DENSITY 3
DATE_DIGITIZED 7 5 1999
DIGITIZER HOWTEK 43.5
SEQUENCE
LEFT_CC LINES 5386 PIXELS_PER_LINE 3691 BITS_PER_PIXEL 12 RESOLUTION 43.5 OVERLAY
LEFT_MLO LINES 5386 PIXELS_PER_LINE 3781 BITS_PER_PIXEL 12 RESOLUTION 43.5 OVERLAY
RIGHT_CC LINES 4981 PIXELS_PER_LINE 3751 BITS_PER_PIXEL 12 RESOLUTION 43.5 NON_OVERLAY
RIGHT_MLO LINES 5341 PIXELS_PER_LINE 3481 BITS_PER_PIXEL 12 RESOLUTION 43.5 NON_OVERLAY

FILE: D_4061_1.LEFT_MLO.OVERLAY

TOTAL_ABNORMALITIES 1
ABNORMALITY 1 
LESION_TYPE MASS SHAPE ROUND MARGINS OBSCURED
ASSESSMENT 0 
SUBTLETY 4 
PATHOLOGY BENIGN
TOTAL_OUTLINES 1 
BOUNDARY
FILE: D_4061_1.LEFT_CC.OVERLAY

TOTAL_ABNORMALITIES 1
ABNORMALITY 1 
LESION_TYPE MASS SHAPE ROUND MARGINS OBSCURED
ASSESSMENT 0 
SUBTLETY 4 
PATHOLOGY BENIGN
TOTAL_OUTLINES 1 
BOUNDARY