Digital Database for Screening Mammography

Volume: benign_09 Case: D-4062-1


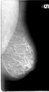
D_4062_1.RIGHT_MLO

D_4062_1.LEFT_MLO

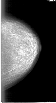
D_4062_1.RIGHT_CC

D_4062_1.LEFT_CC

ics_version 1.0
filename D-4062-1
DATE_OF_STUDY 3 5 1995
PATIENT_AGE 68
FILM
FILM_TYPE REGULAR
DENSITY 2
DATE_DIGITIZED 7 5 1999
DIGITIZER HOWTEK 43.5
SEQUENCE
LEFT_CC LINES 4981 PIXELS_PER_LINE 2731 BITS_PER_PIXEL 12 RESOLUTION 43.5 NON_OVERLAY
LEFT_MLO LINES 5386 PIXELS_PER_LINE 2866 BITS_PER_PIXEL 12 RESOLUTION 43.5 NON_OVERLAY
RIGHT_CC LINES 5356 PIXELS_PER_LINE 2851 BITS_PER_PIXEL 12 RESOLUTION 43.5 OVERLAY
RIGHT_MLO LINES 5266 PIXELS_PER_LINE 2761 BITS_PER_PIXEL 12 RESOLUTION 43.5 OVERLAY

FILE: D_4062_1.RIGHT_MLO.OVERLAY

TOTAL_ABNORMALITIES 1
ABNORMALITY 1 
LESION_TYPE MASS SHAPE OVAL MARGINS CIRCUMSCRIBED
ASSESSMENT 0 
SUBTLETY 5 
PATHOLOGY BENIGN
TOTAL_OUTLINES 1 
BOUNDARY
FILE: D_4062_1.RIGHT_CC.OVERLAY

TOTAL_ABNORMALITIES 1
ABNORMALITY 1 
LESION_TYPE MASS SHAPE OVAL MARGINS CIRCUMSCRIBED
ASSESSMENT 0 
SUBTLETY 5 
PATHOLOGY BENIGN
TOTAL_OUTLINES 2 
BOUNDARY