Digital Database for Screening Mammography

Volume: benign_09 Case: D-4066-1


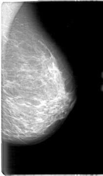
D_4066_1.RIGHT_MLO

D_4066_1.LEFT_MLO

D_4066_1.RIGHT_CC

D_4066_1.LEFT_CC

ics_version 1.0
filename D-4066-1
DATE_OF_STUDY 4 6 1996
PATIENT_AGE 61
FILM
FILM_TYPE REGULAR
DENSITY 3
DATE_DIGITIZED 7 5 1999
DIGITIZER HOWTEK 43.5
SEQUENCE
LEFT_CC LINES 5371 PIXELS_PER_LINE 2926 BITS_PER_PIXEL 12 RESOLUTION 43.5 NON_OVERLAY
LEFT_MLO LINES 5386 PIXELS_PER_LINE 3151 BITS_PER_PIXEL 12 RESOLUTION 43.5 NON_OVERLAY
RIGHT_CC LINES 5116 PIXELS_PER_LINE 2641 BITS_PER_PIXEL 12 RESOLUTION 43.5 OVERLAY
RIGHT_MLO LINES 5206 PIXELS_PER_LINE 2671 BITS_PER_PIXEL 12 RESOLUTION 43.5 OVERLAY

FILE: D_4066_1.RIGHT_MLO.OVERLAY

TOTAL_ABNORMALITIES 1
ABNORMALITY 1 
LESION_TYPE MASS SHAPE ROUND MARGINS OBSCURED
ASSESSMENT 0 
SUBTLETY 2 
PATHOLOGY BENIGN
TOTAL_OUTLINES 1 
BOUNDARY
FILE: D_4066_1.RIGHT_CC.OVERLAY

TOTAL_ABNORMALITIES 1
ABNORMALITY 1 
LESION_TYPE MASS SHAPE ROUND MARGINS OBSCURED
ASSESSMENT 0 
SUBTLETY 2 
PATHOLOGY BENIGN
TOTAL_OUTLINES 1 
BOUNDARY