Digital Database for Screening Mammography

Volume: benign_09 Case: D-4085-1


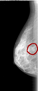
D_4085_1.RIGHT_MLO

D_4085_1.LEFT_MLO

D_4085_1.RIGHT_CC

D_4085_1.LEFT_CC

ics_version 1.0
filename D-4085-1
DATE_OF_STUDY 1 8 1996
PATIENT_AGE 37
FILM
FILM_TYPE REGULAR
DENSITY 3
DATE_DIGITIZED 10 5 1999
DIGITIZER HOWTEK 43.5
SEQUENCE
LEFT_CC LINES 4681 PIXELS_PER_LINE 2326 BITS_PER_PIXEL 12 RESOLUTION 43.5 NON_OVERLAY
LEFT_MLO LINES 4816 PIXELS_PER_LINE 2221 BITS_PER_PIXEL 12 RESOLUTION 43.5 NON_OVERLAY
RIGHT_CC LINES 4681 PIXELS_PER_LINE 2191 BITS_PER_PIXEL 12 RESOLUTION 43.5 OVERLAY
RIGHT_MLO LINES 5101 PIXELS_PER_LINE 2131 BITS_PER_PIXEL 12 RESOLUTION 43.5 OVERLAY

FILE: D_4085_1.RIGHT_MLO.OVERLAY

TOTAL_ABNORMALITIES 1
ABNORMALITY 1 
LESION_TYPE MASS SHAPE OVAL MARGINS OBSCURED
ASSESSMENT 0 
SUBTLETY 3 
PATHOLOGY BENIGN
TOTAL_OUTLINES 1 
BOUNDARY
FILE: D_4085_1.RIGHT_CC.OVERLAY

TOTAL_ABNORMALITIES 1
ABNORMALITY 1 
LESION_TYPE MASS SHAPE OVAL MARGINS OBSCURED
ASSESSMENT 0 
SUBTLETY 3 
PATHOLOGY BENIGN
TOTAL_OUTLINES 1 
BOUNDARY