Digital Database for Screening Mammography

Volume: benign_10: D-4016-1


D_4016_1.RIGHT_MLO

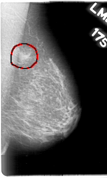
D_4016_1.LEFT_MLO

D_4016_1.RIGHT_CC

D_4016_1.LEFT_CC

ics_version 1.0
filename D-4016-1
DATE_OF_STUDY 13 7 1997
PATIENT_AGE 65
FILM
FILM_TYPE REGULAR
DENSITY 3
DATE_DIGITIZED 4 5 1999
DIGITIZER HOWTEK 43.5
SEQUENCE
LEFT_CC LINES 5386 PIXELS_PER_LINE 3091 BITS_PER_PIXEL 12 RESOLUTION 43.5 OVERLAY
LEFT_MLO LINES 5386 PIXELS_PER_LINE 3241 BITS_PER_PIXEL 12 RESOLUTION 43.5 OVERLAY
RIGHT_CC LINES 5296 PIXELS_PER_LINE 3241 BITS_PER_PIXEL 12 RESOLUTION 43.5 NON_OVERLAY
RIGHT_MLO LINES 5326 PIXELS_PER_LINE 3376 BITS_PER_PIXEL 12 RESOLUTION 43.5 NON_OVERLAY

FILE: D_4016_1.LEFT_MLO.OVERLAY

TOTAL_ABNORMALITIES 1
ABNORMALITY 1 
LESION_TYPE MASS SHAPE IRREGULAR MARGINS ILL_DEFINED
ASSESSMENT 0 
SUBTLETY 5 
PATHOLOGY BENIGN
TOTAL_OUTLINES 1 
BOUNDARY
FILE: D_4016_1.LEFT_CC.OVERLAY

TOTAL_ABNORMALITIES 1
ABNORMALITY 1 
LESION_TYPE MASS SHAPE IRREGULAR MARGINS ILL_DEFINED
ASSESSMENT 0 
SUBTLETY 5 
PATHOLOGY BENIGN
TOTAL_OUTLINES 1 
BOUNDARY