Digital Database for Screening Mammography

Volume: benign_10: D-4197-1


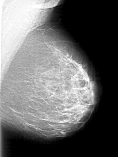
D_4197_1.RIGHT_MLO

D_4197_1.LEFT_MLO

D_4197_1.RIGHT_CC

D_4197_1.LEFT_CC

ics_version 1.0
filename D-4197-1
DATE_OF_STUDY 25 3 1997
PATIENT_AGE 46
FILM
FILM_TYPE REGULAR
DENSITY 2
DATE_DIGITIZED 10 5 1999
DIGITIZER HOWTEK 43.5
SEQUENCE
LEFT_CC LINES 5461 PIXELS_PER_LINE 3601 BITS_PER_PIXEL 12 RESOLUTION 43.5 NON_OVERLAY
LEFT_MLO LINES 5116 PIXELS_PER_LINE 3841 BITS_PER_PIXEL 12 RESOLUTION 43.5 NON_OVERLAY
RIGHT_CC LINES 5971 PIXELS_PER_LINE 3481 BITS_PER_PIXEL 12 RESOLUTION 43.5 OVERLAY
RIGHT_MLO LINES 5746 PIXELS_PER_LINE 3946 BITS_PER_PIXEL 12 RESOLUTION 43.5 OVERLAY

FILE: D_4197_1.RIGHT_MLO.OVERLAY

TOTAL_ABNORMALITIES 1
ABNORMALITY 1 
LESION_TYPE CALCIFICATION TYPE PUNCTATE DISTRIBUTION CLUSTERED
ASSESSMENT 0 
SUBTLETY 2 
PATHOLOGY BENIGN
TOTAL_OUTLINES 1 
BOUNDARY
FILE: D_4197_1.RIGHT_CC.OVERLAY

TOTAL_ABNORMALITIES 1
ABNORMALITY 1 
LESION_TYPE CALCIFICATION TYPE PUNCTATE DISTRIBUTION CLUSTERED
ASSESSMENT 0 
SUBTLETY 2 
PATHOLOGY BENIGN
TOTAL_OUTLINES 1 
BOUNDARY