Digital Database for Screening Mammography

Volume: benign_11 Case: A-1384-1


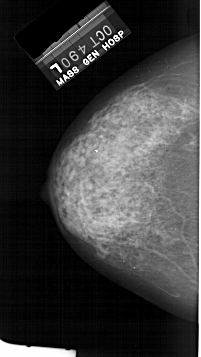
A_1384_1.LEFT_MLO

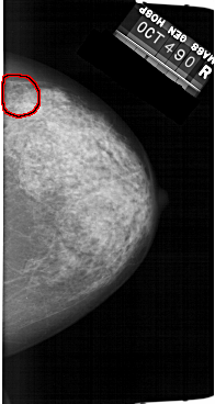
A_1384_1.RIGHT_MLO

A_1384_1.LEFT_CC

A_1384_1.RIGHT_CC

ics_version 1.0
filename A-1384-1
DATE_OF_STUDY 4 10 1990
PATIENT_AGE 58
FILM
FILM_TYPE REGULAR
DENSITY 4
DATE_DIGITIZED 3 9 1998
DIGITIZER HOWTEK 43.5
SEQUENCE
LEFT_CC LINES 5701 PIXELS_PER_LINE 3211 BITS_PER_PIXEL 12 RESOLUTION 43.5 NON_OVERLAY
LEFT_MLO LINES 6616 PIXELS_PER_LINE 3331 BITS_PER_PIXEL 12 RESOLUTION 43.5 NON_OVERLAY
RIGHT_CC LINES 5881 PIXELS_PER_LINE 3121 BITS_PER_PIXEL 12 RESOLUTION 43.5 OVERLAY
RIGHT_MLO LINES 6211 PIXELS_PER_LINE 3166 BITS_PER_PIXEL 12 RESOLUTION 43.5 OVERLAY

FILE: A_1384_1.RIGHT_MLO.OVERLAY

TOTAL_ABNORMALITIES 1
ABNORMALITY 1 
LESION_TYPE CALCIFICATION TYPE PLEOMORPHIC DISTRIBUTION SEGMENTAL
ASSESSMENT 4 
SUBTLETY 4 
PATHOLOGY BENIGN
TOTAL_OUTLINES 1 
BOUNDARY
FILE: A_1384_1.RIGHT_CC.OVERLAY

TOTAL_ABNORMALITIES 1
ABNORMALITY 1 
LESION_TYPE CALCIFICATION TYPE PLEOMORPHIC DISTRIBUTION SEGMENTAL
ASSESSMENT 4 
SUBTLETY 4 
PATHOLOGY BENIGN
TOTAL_OUTLINES 1 
BOUNDARY