Digital Database for Screening Mammography

Volume: benign_11 Case: A-1660-1


A_1660_1.LEFT_MLO

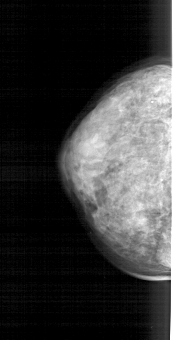
A_1660_1.RIGHT_MLO

A_1660_1.LEFT_CC

A_1660_1.RIGHT_CC

ics_version 1.0
filename A-1660-1
DATE_OF_STUDY 23 3 1993
PATIENT_AGE 50
FILM
FILM_TYPE REGULAR
DENSITY 4
DATE_DIGITIZED 2 11 1998
DIGITIZER HOWTEK 43.5
SEQUENCE
LEFT_CC LINES 4756 PIXELS_PER_LINE 2416 BITS_PER_PIXEL 12 RESOLUTION 43.5 NON_OVERLAY
LEFT_MLO LINES 5041 PIXELS_PER_LINE 2476 BITS_PER_PIXEL 12 RESOLUTION 43.5 NON_OVERLAY
RIGHT_CC LINES 5041 PIXELS_PER_LINE 1921 BITS_PER_PIXEL 12 RESOLUTION 43.5 OVERLAY
RIGHT_MLO LINES 5446 PIXELS_PER_LINE 2431 BITS_PER_PIXEL 12 RESOLUTION 43.5 OVERLAY

FILE: A_1660_1.RIGHT_MLO.OVERLAY

TOTAL_ABNORMALITIES 1
ABNORMALITY 1 
LESION_TYPE CALCIFICATION TYPE PUNCTATE DISTRIBUTION SEGMENTAL
ASSESSMENT 4 
SUBTLETY 1 
PATHOLOGY BENIGN
TOTAL_OUTLINES 1 
BOUNDARY
FILE: A_1660_1.RIGHT_CC.OVERLAY

TOTAL_ABNORMALITIES 1
ABNORMALITY 1 
LESION_TYPE CALCIFICATION TYPE PUNCTATE DISTRIBUTION SEGMENTAL
ASSESSMENT 4 
SUBTLETY 1 
PATHOLOGY BENIGN
TOTAL_OUTLINES 1 
BOUNDARY