Digital Database for Screening Mammography

Volume: benign_11 Case: A-1764-1


A_1764_1.LEFT_MLO

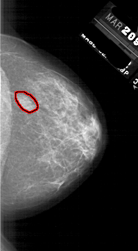
A_1764_1.RIGHT_MLO

A_1764_1.LEFT_CC

A_1764_1.RIGHT_CC

ics_version 1.0
filename A-1764-1
DATE_OF_STUDY 20 3 1997
PATIENT_AGE 42
FILM
FILM_TYPE REGULAR
DENSITY 2
DATE_DIGITIZED 19 3 1999
DIGITIZER HOWTEK 43.5
SEQUENCE
LEFT_CC LINES 5911 PIXELS_PER_LINE 3406 BITS_PER_PIXEL 12 RESOLUTION 43.5 NON_OVERLAY
LEFT_MLO LINES 5971 PIXELS_PER_LINE 3496 BITS_PER_PIXEL 12 RESOLUTION 43.5 NON_OVERLAY
RIGHT_CC LINES 5791 PIXELS_PER_LINE 3181 BITS_PER_PIXEL 12 RESOLUTION 43.5 OVERLAY
RIGHT_MLO LINES 6016 PIXELS_PER_LINE 3301 BITS_PER_PIXEL 12 RESOLUTION 43.5 OVERLAY

FILE: A_1764_1.RIGHT_MLO.OVERLAY

TOTAL_ABNORMALITIES 1
ABNORMALITY 1 
LESION_TYPE MASS SHAPE OVAL MARGINS ILL_DEFINED
ASSESSMENT 4 
SUBTLETY 4 
PATHOLOGY BENIGN
TOTAL_OUTLINES 1 
BOUNDARY
FILE: A_1764_1.RIGHT_CC.OVERLAY

TOTAL_ABNORMALITIES 1
ABNORMALITY 1 
LESION_TYPE MASS SHAPE OVAL MARGINS ILL_DEFINED
ASSESSMENT 4 
SUBTLETY 4 
PATHOLOGY BENIGN
TOTAL_OUTLINES 1 
BOUNDARY