Digital Database for Screening Mammography

Volume: benign_11 Case: A-1788-1


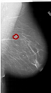
A_1788_1.LEFT_MLO

A_1788_1.RIGHT_MLO

A_1788_1.LEFT_CC

A_1788_1.RIGHT_CC

ics_version 1.0
filename A-1788-1
DATE_OF_STUDY 21 5 1998
PATIENT_AGE 67
FILM
FILM_TYPE REGULAR
DENSITY 1
DATE_DIGITIZED 26 4 1999
DIGITIZER HOWTEK 43.5
SEQUENCE
LEFT_CC LINES 6211 PIXELS_PER_LINE 3241 BITS_PER_PIXEL 12 RESOLUTION 43.5 OVERLAY
LEFT_MLO LINES 6271 PIXELS_PER_LINE 3526 BITS_PER_PIXEL 12 RESOLUTION 43.5 OVERLAY
RIGHT_CC LINES 6061 PIXELS_PER_LINE 2986 BITS_PER_PIXEL 12 RESOLUTION 43.5 OVERLAY
RIGHT_MLO LINES 6031 PIXELS_PER_LINE 3286 BITS_PER_PIXEL 12 RESOLUTION 43.5 OVERLAY

FILE: A_1788_1.LEFT_MLO.OVERLAY

TOTAL_ABNORMALITIES 1
ABNORMALITY 1 
LESION_TYPE MASS SHAPE IRREGULAR MARGINS SPICULATED
ASSESSMENT 4 
SUBTLETY 4 
PATHOLOGY BENIGN
TOTAL_OUTLINES 1 
BOUNDARY
FILE: A_1788_1.RIGHT_MLO.OVERLAY

TOTAL_ABNORMALITIES 1
ABNORMALITY 1 
LESION_TYPE MASS SHAPE LOBULATED MARGINS ILL_DEFINED
ASSESSMENT 4 
SUBTLETY 4 
PATHOLOGY BENIGN
TOTAL_OUTLINES 1 
BOUNDARY
FILE: A_1788_1.LEFT_CC.OVERLAY

TOTAL_ABNORMALITIES 1
ABNORMALITY 1 
LESION_TYPE MASS SHAPE IRREGULAR MARGINS SPICULATED
ASSESSMENT 4 
SUBTLETY 4 
PATHOLOGY BENIGN
TOTAL_OUTLINES 1 
BOUNDARY
FILE: A_1788_1.RIGHT_CC.OVERLAY

TOTAL_ABNORMALITIES 1
ABNORMALITY 1 
LESION_TYPE MASS SHAPE LOBULATED MARGINS ILL_DEFINED
ASSESSMENT 4 
SUBTLETY 4 
PATHOLOGY BENIGN
TOTAL_OUTLINES 1 
BOUNDARY