Digital Database for Screening Mammography

Volume: benign_11 Case: A-1814-1


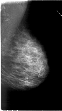
A_1814_1.LEFT_MLO

A_1814_1.RIGHT_MLO

A_1814_1.LEFT_CC

A_1814_1.RIGHT_CC

ics_version 1.0
filename A-1814-1
DATE_OF_STUDY 10 9 1998
PATIENT_AGE 38
FILM
FILM_TYPE REGULAR
DENSITY 4
DATE_DIGITIZED 5 5 1999
DIGITIZER HOWTEK 43.5
SEQUENCE
LEFT_CC LINES 6451 PIXELS_PER_LINE 3496 BITS_PER_PIXEL 12 RESOLUTION 43.5 OVERLAY
LEFT_MLO LINES 6316 PIXELS_PER_LINE 3586 BITS_PER_PIXEL 12 RESOLUTION 43.5 OVERLAY
RIGHT_CC LINES 6316 PIXELS_PER_LINE 3811 BITS_PER_PIXEL 12 RESOLUTION 43.5 NON_OVERLAY
RIGHT_MLO LINES 6751 PIXELS_PER_LINE 3781 BITS_PER_PIXEL 12 RESOLUTION 43.5 NON_OVERLAY

FILE: A_1814_1.LEFT_MLO.OVERLAY

TOTAL_ABNORMALITIES 1
ABNORMALITY 1 
LESION_TYPE MASS SHAPE OVAL MARGINS CIRCUMSCRIBED
ASSESSMENT 3 
SUBTLETY 3 
PATHOLOGY BENIGN
TOTAL_OUTLINES 1 
BOUNDARY
FILE: A_1814_1.LEFT_CC.OVERLAY

TOTAL_ABNORMALITIES 1
ABNORMALITY 1 
LESION_TYPE MASS SHAPE OVAL MARGINS CIRCUMSCRIBED
ASSESSMENT 3 
SUBTLETY 3 
PATHOLOGY BENIGN
TOTAL_OUTLINES 1 
BOUNDARY