ics_version 1.0
filename A-1834-1
DATE_OF_STUDY 21 5 1993
PATIENT_AGE 36
FILM
FILM_TYPE REGULAR
DENSITY 3
DATE_DIGITIZED 14 5 1999
DIGITIZER HOWTEK 43.5
SEQUENCE
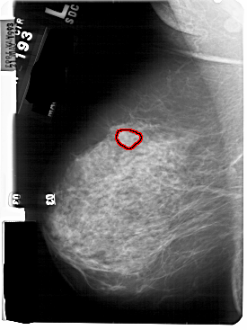
LEFT_CC LINES 5491 PIXELS_PER_LINE 3946 BITS_PER_PIXEL 12 RESOLUTION 43.5 OVERLAY
LEFT_MLO LINES 5491 PIXELS_PER_LINE 4111 BITS_PER_PIXEL 12 RESOLUTION 43.5 OVERLAY
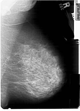
RIGHT_CC LINES 5401 PIXELS_PER_LINE 3526 BITS_PER_PIXEL 12 RESOLUTION 43.5 NON_OVERLAY
RIGHT_MLO LINES 5491 PIXELS_PER_LINE 3976 BITS_PER_PIXEL 12 RESOLUTION 43.5 NON_OVERLAY
|