Digital Database for Screening Mammography

Volume: benign_11 Case: A-1835-1


A_1835_1.LEFT_MLO

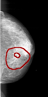
A_1835_1.RIGHT_MLO

A_1835_1.LEFT_CC

A_1835_1.RIGHT_CC

ics_version 1.0
filename A-1835-1
DATE_OF_STUDY 8 9 1994
PATIENT_AGE 27
FILM
FILM_TYPE REGULAR
DENSITY 4
DATE_DIGITIZED 19 5 1999
DIGITIZER HOWTEK 43.5
SEQUENCE
LEFT_CC LINES 5491 PIXELS_PER_LINE 2731 BITS_PER_PIXEL 12 RESOLUTION 43.5 NON_OVERLAY
LEFT_MLO LINES 5491 PIXELS_PER_LINE 2791 BITS_PER_PIXEL 12 RESOLUTION 43.5 NON_OVERLAY
RIGHT_CC LINES 4966 PIXELS_PER_LINE 2446 BITS_PER_PIXEL 12 RESOLUTION 43.5 OVERLAY
RIGHT_MLO LINES 5431 PIXELS_PER_LINE 2491 BITS_PER_PIXEL 12 RESOLUTION 43.5 OVERLAY

FILE: A_1835_1.RIGHT_MLO.OVERLAY

TOTAL_ABNORMALITIES 1
ABNORMALITY 1 
LESION_TYPE MASS SHAPE ARCHITECTURAL_DISTORTION MARGINS SPICULATED
ASSESSMENT 4 
SUBTLETY 4 
PATHOLOGY BENIGN
TOTAL_OUTLINES 2 
BOUNDARY
	CORE
FILE: A_1835_1.RIGHT_CC.OVERLAY

TOTAL_ABNORMALITIES 1
ABNORMALITY 1 
LESION_TYPE MASS SHAPE ARCHITECTURAL_DISTORTION MARGINS SPICULATED
ASSESSMENT 4 
SUBTLETY 4 
PATHOLOGY BENIGN
TOTAL_OUTLINES 2 
BOUNDARY
	CORE