Digital Database for Screening Mammography

Volume: benign_11 Case: A-1837-1


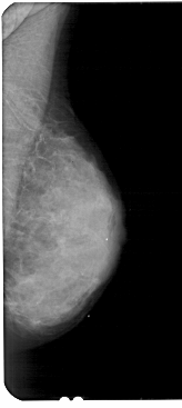
A_1837_1.LEFT_MLO

A_1837_1.RIGHT_MLO

A_1837_1.LEFT_CC

A_1837_1.RIGHT_CC

ics_version 1.0
filename A-1837-1
DATE_OF_STUDY 4 6 1996
PATIENT_AGE 53
FILM
FILM_TYPE REGULAR
DENSITY 4
DATE_DIGITIZED 19 5 1999
DIGITIZER HOWTEK 43.5
SEQUENCE
LEFT_CC LINES 5146 PIXELS_PER_LINE 2296 BITS_PER_PIXEL 12 RESOLUTION 43.5 OVERLAY
LEFT_MLO LINES 5491 PIXELS_PER_LINE 2491 BITS_PER_PIXEL 12 RESOLUTION 43.5 OVERLAY
RIGHT_CC LINES 4771 PIXELS_PER_LINE 2251 BITS_PER_PIXEL 12 RESOLUTION 43.5 NON_OVERLAY
RIGHT_MLO LINES 5491 PIXELS_PER_LINE 2446 BITS_PER_PIXEL 12 RESOLUTION 43.5 NON_OVERLAY

FILE: A_1837_1.LEFT_MLO.OVERLAY

TOTAL_ABNORMALITIES 1
ABNORMALITY 1 
LESION_TYPE CALCIFICATION TYPE ROUND_AND_REGULAR DISTRIBUTION CLUSTERED
ASSESSMENT 4 
SUBTLETY 3 
PATHOLOGY BENIGN
TOTAL_OUTLINES 1 
BOUNDARY
FILE: A_1837_1.LEFT_CC.OVERLAY

TOTAL_ABNORMALITIES 1
ABNORMALITY 1 
LESION_TYPE CALCIFICATION TYPE ROUND_AND_REGULAR DISTRIBUTION CLUSTERED
ASSESSMENT 4 
SUBTLETY 3 
PATHOLOGY BENIGN
TOTAL_OUTLINES 1 
BOUNDARY