Digital Database for Screening Mammography

Volume: benign_12 Case: A-1867-1


A_1867_1.LEFT_MLO

A_1867_1.RIGHT_MLO

A_1867_1.LEFT_CC

A_1867_1.RIGHT_CC

ics_version 1.0
filename A-1867-1
DATE_OF_STUDY 3 2 1995
PATIENT_AGE 49
FILM
FILM_TYPE REGULAR
DENSITY 4
DATE_DIGITIZED 13 5 1999
DIGITIZER HOWTEK 43.5
SEQUENCE
LEFT_CC LINES 4261 PIXELS_PER_LINE 1651 BITS_PER_PIXEL 12 RESOLUTION 43.5 NON_OVERLAY
LEFT_MLO LINES 5311 PIXELS_PER_LINE 2176 BITS_PER_PIXEL 12 RESOLUTION 43.5 NON_OVERLAY
RIGHT_CC LINES 4366 PIXELS_PER_LINE 1636 BITS_PER_PIXEL 12 RESOLUTION 43.5 NON_OVERLAY
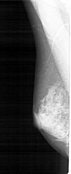
RIGHT_MLO LINES 5236 PIXELS_PER_LINE 1966 BITS_PER_PIXEL 12 RESOLUTION 43.5 OVERLAY

FILE: A_1867_1.RIGHT_MLO.OVERLAY

TOTAL_ABNORMALITIES 1
ABNORMALITY 1 
LESION_TYPE CALCIFICATION TYPE PLEOMORPHIC DISTRIBUTION CLUSTERED
ASSESSMENT 4 
SUBTLETY 2 
PATHOLOGY BENIGN
TOTAL_OUTLINES 1 
BOUNDARY