Digital Database for Screening Mammography

Volume: benign_12 Case: A-1886-1


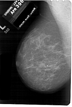
A_1886_1.LEFT_MLO

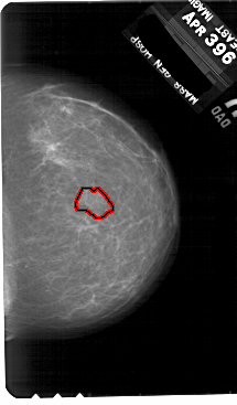
A_1886_1.RIGHT_MLO

A_1886_1.LEFT_CC

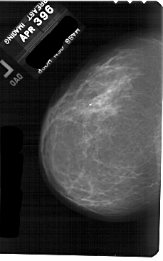
A_1886_1.RIGHT_CC

ics_version 1.0
filename A-1886-1
DATE_OF_STUDY 3 4 1996
PATIENT_AGE 40
FILM
FILM_TYPE REGULAR
DENSITY 1
DATE_DIGITIZED 12 3 1999
DIGITIZER HOWTEK 43.5
SEQUENCE
LEFT_CC LINES 5491 PIXELS_PER_LINE 3421 BITS_PER_PIXEL 12 RESOLUTION 43.5 NON_OVERLAY
LEFT_MLO LINES 5491 PIXELS_PER_LINE 3661 BITS_PER_PIXEL 12 RESOLUTION 43.5 NON_OVERLAY
RIGHT_CC LINES 5491 PIXELS_PER_LINE 3211 BITS_PER_PIXEL 12 RESOLUTION 43.5 OVERLAY
RIGHT_MLO LINES 5491 PIXELS_PER_LINE 3451 BITS_PER_PIXEL 12 RESOLUTION 43.5 OVERLAY

FILE: A_1886_1.RIGHT_MLO.OVERLAY

TOTAL_ABNORMALITIES 1
ABNORMALITY 1 
LESION_TYPE MASS SHAPE IRREGULAR MARGINS ILL_DEFINED
ASSESSMENT 4 
SUBTLETY 3 
PATHOLOGY BENIGN
TOTAL_OUTLINES 1 
BOUNDARY
FILE: A_1886_1.RIGHT_CC.OVERLAY

TOTAL_ABNORMALITIES 1
ABNORMALITY 1 
LESION_TYPE MASS SHAPE IRREGULAR MARGINS ILL_DEFINED
ASSESSMENT 4 
SUBTLETY 3 
PATHOLOGY BENIGN
TOTAL_OUTLINES 1 
BOUNDARY