Digital Database for Screening Mammography

Volume: benign_12 Case: A-1889-1


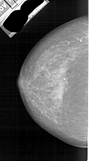
A_1889_1.LEFT_MLO

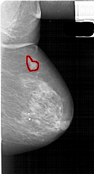
A_1889_1.RIGHT_MLO

A_1889_1.LEFT_CC

A_1889_1.RIGHT_CC

ics_version 1.0
filename A-1889-1
DATE_OF_STUDY 16 11 1995
PATIENT_AGE 68
FILM
FILM_TYPE REGULAR
DENSITY 3
DATE_DIGITIZED 18 5 1999
DIGITIZER HOWTEK 43.5
SEQUENCE
LEFT_CC LINES 4651 PIXELS_PER_LINE 2581 BITS_PER_PIXEL 12 RESOLUTION 43.5 NON_OVERLAY
LEFT_MLO LINES 5386 PIXELS_PER_LINE 2866 BITS_PER_PIXEL 12 RESOLUTION 43.5 NON_OVERLAY
RIGHT_CC LINES 4891 PIXELS_PER_LINE 2746 BITS_PER_PIXEL 12 RESOLUTION 43.5 OVERLAY
RIGHT_MLO LINES 5266 PIXELS_PER_LINE 2836 BITS_PER_PIXEL 12 RESOLUTION 43.5 OVERLAY

FILE: A_1889_1.RIGHT_MLO.OVERLAY

TOTAL_ABNORMALITIES 1
ABNORMALITY 1 
LESION_TYPE MASS SHAPE IRREGULAR MARGINS ILL_DEFINED
ASSESSMENT 4 
SUBTLETY 4 
PATHOLOGY BENIGN
TOTAL_OUTLINES 1 
BOUNDARY
FILE: A_1889_1.RIGHT_CC.OVERLAY

TOTAL_ABNORMALITIES 1
ABNORMALITY 1 
LESION_TYPE MASS SHAPE IRREGULAR MARGINS ILL_DEFINED
ASSESSMENT 4 
SUBTLETY 4 
PATHOLOGY BENIGN
TOTAL_OUTLINES 1 
BOUNDARY