Digital Database for Screening Mammography

Volume: benign_12 Case: A-1909-1


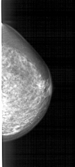
A_1909_1.LEFT_MLO

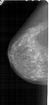
A_1909_1.RIGHT_MLO

A_1909_1.LEFT_CC

A_1909_1.RIGHT_CC

ics_version 1.0
filename A-1909-1
DATE_OF_STUDY 29 11 1995
PATIENT_AGE 71
FILM
FILM_TYPE REGULAR
DENSITY 3
DATE_DIGITIZED 24 6 1999
DIGITIZER HOWTEK 43.5
SEQUENCE
LEFT_CC LINES 4966 PIXELS_PER_LINE 2311 BITS_PER_PIXEL 12 RESOLUTION 43.5 NON_OVERLAY
LEFT_MLO LINES 5041 PIXELS_PER_LINE 2386 BITS_PER_PIXEL 12 RESOLUTION 43.5 NON_OVERLAY
RIGHT_CC LINES 4681 PIXELS_PER_LINE 2116 BITS_PER_PIXEL 12 RESOLUTION 43.5 NON_OVERLAY
RIGHT_MLO LINES 4966 PIXELS_PER_LINE 2536 BITS_PER_PIXEL 12 RESOLUTION 43.5 OVERLAY

FILE: A_1909_1.RIGHT_MLO.OVERLAY

TOTAL_ABNORMALITIES 1
ABNORMALITY 1 
LESION_TYPE CALCIFICATION TYPE PLEOMORPHIC DISTRIBUTION CLUSTERED
ASSESSMENT 4 
SUBTLETY 2 
PATHOLOGY BENIGN
TOTAL_OUTLINES 1 
BOUNDARY