Digital Database for Screening Mammography

Volume: benign_12 Case: A-1913-1


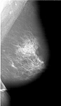
A_1913_1.LEFT_MLO

A_1913_1.RIGHT_MLO

A_1913_1.LEFT_CC

A_1913_1.RIGHT_CC

ics_version 1.0
filename A-1913-1
DATE_OF_STUDY 13 11 1995
PATIENT_AGE 62
FILM
FILM_TYPE REGULAR
DENSITY 3
DATE_DIGITIZED 24 6 1999
DIGITIZER HOWTEK 43.5
SEQUENCE
LEFT_CC LINES 6841 PIXELS_PER_LINE 3646 BITS_PER_PIXEL 12 RESOLUTION 43.5 OVERLAY
LEFT_MLO LINES 6481 PIXELS_PER_LINE 3796 BITS_PER_PIXEL 12 RESOLUTION 43.5 OVERLAY
RIGHT_CC LINES 6136 PIXELS_PER_LINE 3316 BITS_PER_PIXEL 12 RESOLUTION 43.5 NON_OVERLAY
RIGHT_MLO LINES 6286 PIXELS_PER_LINE 3646 BITS_PER_PIXEL 12 RESOLUTION 43.5 NON_OVERLAY

FILE: A_1913_1.LEFT_MLO.OVERLAY

TOTAL_ABNORMALITIES 1
ABNORMALITY 1 
LESION_TYPE CALCIFICATION TYPE PLEOMORPHIC DISTRIBUTION CLUSTERED
ASSESSMENT 4 
SUBTLETY 4 
PATHOLOGY BENIGN
TOTAL_OUTLINES 1 
BOUNDARY
FILE: A_1913_1.LEFT_CC.OVERLAY

TOTAL_ABNORMALITIES 1
ABNORMALITY 1 
LESION_TYPE CALCIFICATION TYPE PLEOMORPHIC DISTRIBUTION CLUSTERED
ASSESSMENT 4 
SUBTLETY 4 
PATHOLOGY BENIGN
TOTAL_OUTLINES 1 
BOUNDARY