Digital Database for Screening Mammography

Volume: benign_12 Case: A-1915-1


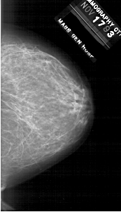
A_1915_1.LEFT_MLO

A_1915_1.RIGHT_MLO

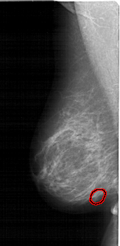
A_1915_1.LEFT_CC

A_1915_1.RIGHT_CC

ics_version 1.0
filename A-1915-1
DATE_OF_STUDY 17 11 1993
PATIENT_AGE 52
FILM
FILM_TYPE REGULAR
DENSITY 3
DATE_DIGITIZED 22 6 1999
DIGITIZER HOWTEK 43.5
SEQUENCE
LEFT_CC LINES 6346 PIXELS_PER_LINE 2941 BITS_PER_PIXEL 12 RESOLUTION 43.5 OVERLAY
LEFT_MLO LINES 6316 PIXELS_PER_LINE 3076 BITS_PER_PIXEL 12 RESOLUTION 43.5 OVERLAY
RIGHT_CC LINES 5401 PIXELS_PER_LINE 3106 BITS_PER_PIXEL 12 RESOLUTION 43.5 NON_OVERLAY
RIGHT_MLO LINES 6406 PIXELS_PER_LINE 3121 BITS_PER_PIXEL 12 RESOLUTION 43.5 NON_OVERLAY

FILE: A_1915_1.LEFT_MLO.OVERLAY

TOTAL_ABNORMALITIES 1
ABNORMALITY 1 
LESION_TYPE MASS SHAPE OVAL MARGINS OBSCURED
ASSESSMENT 3 
SUBTLETY 2 
PATHOLOGY BENIGN
TOTAL_OUTLINES 1 
BOUNDARY
FILE: A_1915_1.LEFT_CC.OVERLAY

TOTAL_ABNORMALITIES 1
ABNORMALITY 1 
LESION_TYPE MASS SHAPE OVAL MARGINS OBSCURED
ASSESSMENT 3 
SUBTLETY 2 
PATHOLOGY BENIGN
TOTAL_OUTLINES 1 
BOUNDARY