Digital Database for Screening Mammography

Volume: benign_12 Case: A-1921-1


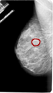
A_1921_1.LEFT_MLO

A_1921_1.RIGHT_MLO

A_1921_1.LEFT_CC

A_1921_1.RIGHT_CC

ics_version 1.0
filename A-1921-1
DATE_OF_STUDY 7 6 1994
PATIENT_AGE 36
FILM
FILM_TYPE REGULAR
DENSITY 4
DATE_DIGITIZED 22 6 1999
DIGITIZER HOWTEK 43.5
SEQUENCE
LEFT_CC LINES 5011 PIXELS_PER_LINE 2851 BITS_PER_PIXEL 12 RESOLUTION 43.5 OVERLAY
LEFT_MLO LINES 5371 PIXELS_PER_LINE 3076 BITS_PER_PIXEL 12 RESOLUTION 43.5 OVERLAY
RIGHT_CC LINES 5131 PIXELS_PER_LINE 2551 BITS_PER_PIXEL 12 RESOLUTION 43.5 NON_OVERLAY
RIGHT_MLO LINES 5461 PIXELS_PER_LINE 2626 BITS_PER_PIXEL 12 RESOLUTION 43.5 NON_OVERLAY

FILE: A_1921_1.LEFT_MLO.OVERLAY

TOTAL_ABNORMALITIES 1
ABNORMALITY 1 
LESION_TYPE MASS SHAPE OVAL MARGINS OBSCURED
ASSESSMENT 3 
SUBTLETY 2 
PATHOLOGY BENIGN
TOTAL_OUTLINES 1 
BOUNDARY
FILE: A_1921_1.LEFT_CC.OVERLAY

TOTAL_ABNORMALITIES 1
ABNORMALITY 1 
LESION_TYPE MASS SHAPE OVAL MARGINS OBSCURED
ASSESSMENT 3 
SUBTLETY 2 
PATHOLOGY BENIGN
TOTAL_OUTLINES 1 
BOUNDARY