Digital Database for Screening Mammography

Volume: benign_12 Case: A-1937-1


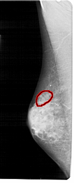
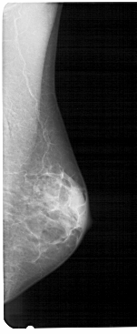
A_1937_1.LEFT_MLO

A_1937_1.RIGHT_MLO

A_1937_1.LEFT_CC

A_1937_1.RIGHT_CC

ics_version 1.0
filename A-1937-1
DATE_OF_STUDY 30 10 1992
PATIENT_AGE 65
FILM
FILM_TYPE REGULAR
DENSITY 4
DATE_DIGITIZED 23 9 1998
DIGITIZER HOWTEK 43.5
SEQUENCE
LEFT_CC LINES 4891 PIXELS_PER_LINE 2281 BITS_PER_PIXEL 12 RESOLUTION 43.5 OVERLAY
LEFT_MLO LINES 5491 PIXELS_PER_LINE 2221 BITS_PER_PIXEL 12 RESOLUTION 43.5 OVERLAY
RIGHT_CC LINES 4576 PIXELS_PER_LINE 2251 BITS_PER_PIXEL 12 RESOLUTION 43.5 NON_OVERLAY
RIGHT_MLO LINES 5491 PIXELS_PER_LINE 2251 BITS_PER_PIXEL 12 RESOLUTION 43.5 NON_OVERLAY

FILE: A_1937_1.LEFT_MLO.OVERLAY

TOTAL_ABNORMALITIES 1
ABNORMALITY 1 
LESION_TYPE CALCIFICATION TYPE PLEOMORPHIC DISTRIBUTION CLUSTERED
ASSESSMENT 4 
SUBTLETY 3 
PATHOLOGY BENIGN
TOTAL_OUTLINES 1 
BOUNDARY
FILE: A_1937_1.LEFT_CC.OVERLAY

TOTAL_ABNORMALITIES 1
ABNORMALITY 1 
LESION_TYPE CALCIFICATION TYPE PLEOMORPHIC DISTRIBUTION CLUSTERED
ASSESSMENT 4 
SUBTLETY 3 
PATHOLOGY BENIGN
TOTAL_OUTLINES 1 
BOUNDARY