![]() |
![]() |
![]() |
![]() |
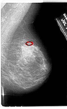
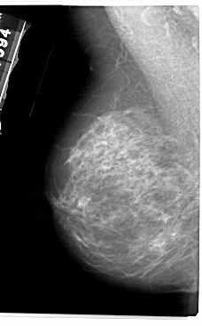
ics_version 1.0 filename A-1944-1 DATE_OF_STUDY 19 7 1994 PATIENT_AGE 72 FILM FILM_TYPE REGULAR DENSITY 3 DATE_DIGITIZED 8 7 1999 DIGITIZER HOWTEK 43.5 SEQUENCE LEFT_CC LINES 5431 PIXELS_PER_LINE 3106 BITS_PER_PIXEL 12 RESOLUTION 43.5 NON_OVERLAY LEFT_MLO LINES 5491 PIXELS_PER_LINE 3406 BITS_PER_PIXEL 12 RESOLUTION 43.5 NON_OVERLAY RIGHT_CC LINES 5116 PIXELS_PER_LINE 3046 BITS_PER_PIXEL 12 RESOLUTION 43.5 OVERLAY RIGHT_MLO LINES 5491 PIXELS_PER_LINE 3391 BITS_PER_PIXEL 12 RESOLUTION 43.5 OVERLAY |
FILE: A_1944_1.RIGHT_MLO.OVERLAY TOTAL_ABNORMALITIES 1 ABNORMALITY 1 LESION_TYPE CALCIFICATION TYPE PLEOMORPHIC DISTRIBUTION CLUSTERED ASSESSMENT 4 SUBTLETY 3 PATHOLOGY BENIGN TOTAL_OUTLINES 1 BOUNDARY |
FILE: A_1944_1.RIGHT_CC.OVERLAY TOTAL_ABNORMALITIES 1 ABNORMALITY 1 LESION_TYPE CALCIFICATION TYPE PLEOMORPHIC DISTRIBUTION CLUSTERED ASSESSMENT 4 SUBTLETY 3 PATHOLOGY BENIGN TOTAL_OUTLINES 1 BOUNDARY |