Digital Database for Screening Mammography

Volume: benign_12 Case: A-1949-1


A_1949_1.LEFT_MLO

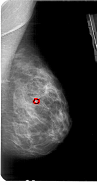
A_1949_1.RIGHT_MLO

A_1949_1.LEFT_CC

A_1949_1.RIGHT_CC

ics_version 1.0
filename A-1949-1
DATE_OF_STUDY 29 10 1990
PATIENT_AGE 54
FILM
FILM_TYPE REGULAR
DENSITY 4
DATE_DIGITIZED 8 7 1999
DIGITIZER HOWTEK 43.5
SEQUENCE
LEFT_CC LINES 5101 PIXELS_PER_LINE 2971 BITS_PER_PIXEL 12 RESOLUTION 43.5 NON_OVERLAY
LEFT_MLO LINES 5491 PIXELS_PER_LINE 3076 BITS_PER_PIXEL 12 RESOLUTION 43.5 NON_OVERLAY
RIGHT_CC LINES 5101 PIXELS_PER_LINE 2746 BITS_PER_PIXEL 12 RESOLUTION 43.5 OVERLAY
RIGHT_MLO LINES 5491 PIXELS_PER_LINE 2881 BITS_PER_PIXEL 12 RESOLUTION 43.5 OVERLAY

FILE: A_1949_1.RIGHT_MLO.OVERLAY

TOTAL_ABNORMALITIES 1
ABNORMALITY 1 
LESION_TYPE CALCIFICATION TYPE PLEOMORPHIC DISTRIBUTION CLUSTERED
ASSESSMENT 4 
SUBTLETY 3 
PATHOLOGY BENIGN
TOTAL_OUTLINES 1 
BOUNDARY
FILE: A_1949_1.RIGHT_CC.OVERLAY

TOTAL_ABNORMALITIES 1
ABNORMALITY 1 
LESION_TYPE CALCIFICATION TYPE PLEOMORPHIC DISTRIBUTION CLUSTERED
ASSESSMENT 4 
SUBTLETY 3 
PATHOLOGY BENIGN
TOTAL_OUTLINES 1 
BOUNDARY