Digital Database for Screening Mammography

Volume: benign_13 Case: C-0412-1


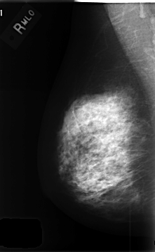
C_0412_1.RIGHT_MLO

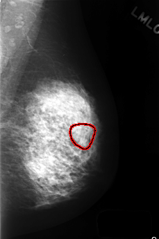
C_0412_1.LEFT_MLO

C_0412_1.RIGHT_CC

C_0412_1.LEFT_CC

ics_version 1.0
filename C-0412-1
DATE_OF_STUDY 26 8 1996
PATIENT_AGE 59
FILM
FILM_TYPE REGULAR
DENSITY 4
DATE_DIGITIZED 9 11 1998
DIGITIZER LUMISYS LASER
SEQUENCE
LEFT_CC LINES 4496 PIXELS_PER_LINE 2992 BITS_PER_PIXEL 12 RESOLUTION 50 OVERLAY
LEFT_MLO LINES 4472 PIXELS_PER_LINE 2976 BITS_PER_PIXEL 12 RESOLUTION 50 OVERLAY
RIGHT_CC LINES 4512 PIXELS_PER_LINE 2968 BITS_PER_PIXEL 12 RESOLUTION 50 NON_OVERLAY
RIGHT_MLO LINES 4656 PIXELS_PER_LINE 2864 BITS_PER_PIXEL 12 RESOLUTION 50 NON_OVERLAY

FILE: C_0412_1.LEFT_MLO.OVERLAY

TOTAL_ABNORMALITIES 1
ABNORMALITY 1
LESION_TYPE MASS SHAPE ROUND MARGINS OBSCURED
ASSESSMENT 3
SUBTLETY 3
PATHOLOGY BENIGN
TOTAL_OUTLINES 1 
BOUNDARY
FILE: C_0412_1.LEFT_CC.OVERLAY

TOTAL_ABNORMALITIES 1
ABNORMALITY 1
LESION_TYPE MASS SHAPE ROUND MARGINS CIRCUMSCRIBED
ASSESSMENT 3
SUBTLETY 3
PATHOLOGY BENIGN
TOTAL_OUTLINES 1 
BOUNDARY