Digital Database for Screening Mammography

Volume: benign_13 Case: C-0413-1


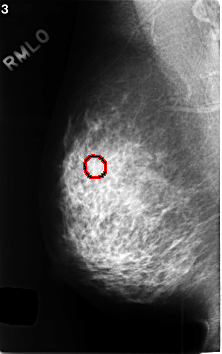
C_0413_1.RIGHT_MLO

C_0413_1.LEFT_MLO

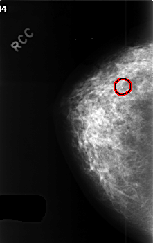
C_0413_1.RIGHT_CC

C_0413_1.LEFT_CC

ics_version 1.0
filename C-0413-1
DATE_OF_STUDY 4 12 1996
PATIENT_AGE 57
FILM
FILM_TYPE REGULAR
DENSITY 3
DATE_DIGITIZED 9 11 1998
DIGITIZER LUMISYS LASER
SEQUENCE
LEFT_CC LINES 4584 PIXELS_PER_LINE 2880 BITS_PER_PIXEL 12 RESOLUTION 50 NON_OVERLAY
LEFT_MLO LINES 4400 PIXELS_PER_LINE 2896 BITS_PER_PIXEL 12 RESOLUTION 50 NON_OVERLAY
RIGHT_CC LINES 4560 PIXELS_PER_LINE 2864 BITS_PER_PIXEL 12 RESOLUTION 50 OVERLAY
RIGHT_MLO LINES 4592 PIXELS_PER_LINE 2880 BITS_PER_PIXEL 12 RESOLUTION 50 OVERLAY

FILE: C_0413_1.RIGHT_MLO.OVERLAY

TOTAL_ABNORMALITIES 1
ABNORMALITY 1
LESION_TYPE CALCIFICATION TYPE AMORPHOUS DISTRIBUTION CLUSTERED
ASSESSMENT 4
SUBTLETY 4
PATHOLOGY BENIGN
TOTAL_OUTLINES 1 
BOUNDARY
FILE: C_0413_1.RIGHT_CC.OVERLAY

TOTAL_ABNORMALITIES 1
ABNORMALITY 1
LESION_TYPE CALCIFICATION TYPE AMORPHOUS DISTRIBUTION CLUSTERED
ASSESSMENT 4
SUBTLETY 4
PATHOLOGY BENIGN
TOTAL_OUTLINES 1 
BOUNDARY