Digital Database for Screening Mammography

Volume: benign_13 Case: C-0414-1


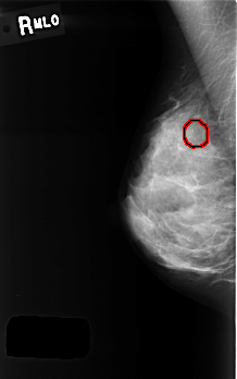
C_0414_1.RIGHT_MLO

C_0414_1.LEFT_MLO

C_0414_1.RIGHT_CC

C_0414_1.LEFT_CC

ics_version 1.0
filename C-0414-1
DATE_OF_STUDY 23 7 1996
PATIENT_AGE 40
FILM
FILM_TYPE REGULAR
DENSITY 3
DATE_DIGITIZED 13 10 1998
DIGITIZER LUMISYS LASER
SEQUENCE
LEFT_CC LINES 4432 PIXELS_PER_LINE 2944 BITS_PER_PIXEL 12 RESOLUTION 50 NON_OVERLAY
LEFT_MLO LINES 4216 PIXELS_PER_LINE 2888 BITS_PER_PIXEL 12 RESOLUTION 50 NON_OVERLAY
RIGHT_CC LINES 4272 PIXELS_PER_LINE 2944 BITS_PER_PIXEL 12 RESOLUTION 50 NON_OVERLAY
RIGHT_MLO LINES 4512 PIXELS_PER_LINE 2824 BITS_PER_PIXEL 12 RESOLUTION 50 OVERLAY

FILE: C_0414_1.RIGHT_MLO.OVERLAY

TOTAL_ABNORMALITIES 1
ABNORMALITY 1
LESION_TYPE CALCIFICATION TYPE AMORPHOUS DISTRIBUTION CLUSTERED
ASSESSMENT 4
SUBTLETY 3
PATHOLOGY BENIGN
TOTAL_OUTLINES 1 
BOUNDARY