Digital Database for Screening Mammography

Volume: benign_13 Case: C-0466-1


C_0466_1.RIGHT_MLO

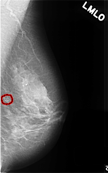
C_0466_1.LEFT_MLO

C_0466_1.RIGHT_CC

C_0466_1.LEFT_CC

ics_version 1.0
filename C-0466-1
DATE_OF_STUDY 1 7 1996
PATIENT_AGE 71
FILM
FILM_TYPE REGULAR
DENSITY 3
DATE_DIGITIZED 28 12 1998
DIGITIZER LUMISYS LASER
SEQUENCE
LEFT_CC LINES 4600 PIXELS_PER_LINE 2816 BITS_PER_PIXEL 12 RESOLUTION 50 OVERLAY
LEFT_MLO LINES 4576 PIXELS_PER_LINE 2848 BITS_PER_PIXEL 12 RESOLUTION 50 OVERLAY
RIGHT_CC LINES 4576 PIXELS_PER_LINE 2808 BITS_PER_PIXEL 12 RESOLUTION 50 NON_OVERLAY
RIGHT_MLO LINES 4624 PIXELS_PER_LINE 2928 BITS_PER_PIXEL 12 RESOLUTION 50 NON_OVERLAY

FILE: C_0466_1.LEFT_MLO.OVERLAY

TOTAL_ABNORMALITIES 1
ABNORMALITY 1
LESION_TYPE CALCIFICATION TYPE PLEOMORPHIC DISTRIBUTION CLUSTERED
ASSESSMENT 4
SUBTLETY 4
PATHOLOGY BENIGN
TOTAL_OUTLINES 1 
BOUNDARY
FILE: C_0466_1.LEFT_CC.OVERLAY

TOTAL_ABNORMALITIES 1
ABNORMALITY 1
LESION_TYPE CALCIFICATION TYPE PLEOMORPHIC DISTRIBUTION CLUSTERED
ASSESSMENT 4
SUBTLETY 4
PATHOLOGY BENIGN
TOTAL_OUTLINES 1 
BOUNDARY