Digital Database for Screening Mammography

Volume: HtmlThumbnail Case: C-0478-1


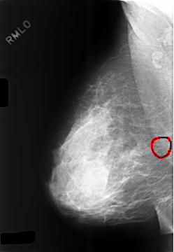
C_0478_1.RIGHT_MLO

C_0478_1.LEFT_MLO

C_0478_1.RIGHT_CC

C_0478_1.LEFT_CC

ics_version 1.0
filename C-0478-1
DATE_OF_STUDY 7 4 1994
PATIENT_AGE 44
FILM
FILM_TYPE REGULAR
DENSITY 4
DATE_DIGITIZED 10 2 1999
DIGITIZER LUMISYS LASER
SEQUENCE
LEFT_CC LINES 5720 PIXELS_PER_LINE 4032 BITS_PER_PIXEL 12 RESOLUTION 50 NON_OVERLAY
LEFT_MLO LINES 5656 PIXELS_PER_LINE 3920 BITS_PER_PIXEL 12 RESOLUTION 50 NON_OVERLAY
RIGHT_CC LINES 5704 PIXELS_PER_LINE 3984 BITS_PER_PIXEL 12 RESOLUTION 50 NON_OVERLAY
RIGHT_MLO LINES 5752 PIXELS_PER_LINE 3976 BITS_PER_PIXEL 12 RESOLUTION 50 OVERLAY

FILE: C_0478_1.RIGHT_MLO.OVERLAY

TOTAL_ABNORMALITIES 1
ABNORMALITY 1
LESION_TYPE MASS SHAPE ROUND MARGINS CIRCUMSCRIBED
ASSESSMENT 4
SUBTLETY 5
PATHOLOGY BENIGN
TOTAL_OUTLINES 1 
BOUNDARY