Digital Database for Screening Mammography

Volume: benign_13 Case: C-0485-1


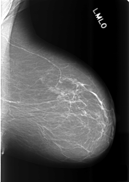
C_0485_1.RIGHT_MLO

C_0485_1.LEFT_MLO

C_0485_1.RIGHT_CC

C_0485_1.LEFT_CC

ics_version 1.0
filename C-0485-1
DATE_OF_STUDY 19 10 1994
PATIENT_AGE 74
FILM
FILM_TYPE REGULAR
DENSITY 1
DATE_DIGITIZED 10 2 1999
DIGITIZER LUMISYS LASER
SEQUENCE
LEFT_CC LINES 5680 PIXELS_PER_LINE 4024 BITS_PER_PIXEL 12 RESOLUTION 50 NON_OVERLAY
LEFT_MLO LINES 5680 PIXELS_PER_LINE 4024 BITS_PER_PIXEL 12 RESOLUTION 50 NON_OVERLAY
RIGHT_CC LINES 5664 PIXELS_PER_LINE 3944 BITS_PER_PIXEL 12 RESOLUTION 50 OVERLAY
RIGHT_MLO LINES 5736 PIXELS_PER_LINE 3928 BITS_PER_PIXEL 12 RESOLUTION 50 OVERLAY

FILE: C_0485_1.RIGHT_MLO.OVERLAY

TOTAL_ABNORMALITIES 1
ABNORMALITY 1
LESION_TYPE MASS SHAPE LOBULATED MARGINS CIRCUMSCRIBED
ASSESSMENT 3
SUBTLETY 5
PATHOLOGY BENIGN
TOTAL_OUTLINES 1 
BOUNDARY
FILE: C_0485_1.RIGHT_CC.OVERLAY

TOTAL_ABNORMALITIES 1
ABNORMALITY 1
LESION_TYPE MASS SHAPE ROUND MARGINS CIRCUMSCRIBED
ASSESSMENT 3
SUBTLETY 5
PATHOLOGY BENIGN
TOTAL_OUTLINES 1 
BOUNDARY